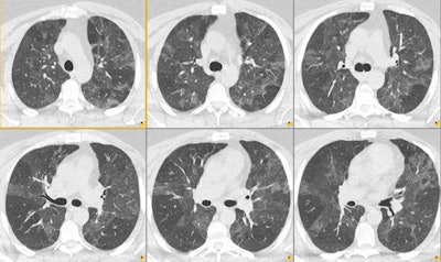
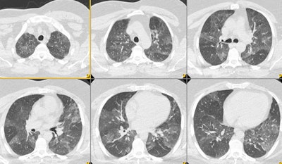
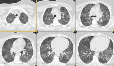
Mosaic attenuation due to air trapping:
Inspiratory CT demonstrated mosaiform attenuation to the lung parenchyma. On expiration, areas of decreased attenuation persisted which confirmed air trapping as the etiology of the mosaiform attenuation in this patient.
Inspiration:

Expiration:.









