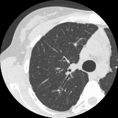
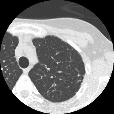
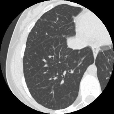
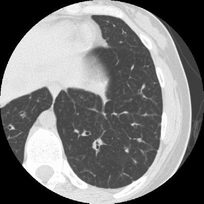
Sarcoid Stage 4:
The case below in from a patient with a history of sarcoid. The HRCT examination demonstrates interstitial lung disease with peripheral traction bronchiectasis that has been stable over the past several years. (Click image to enlarge)











