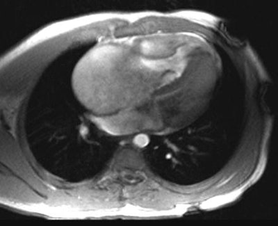
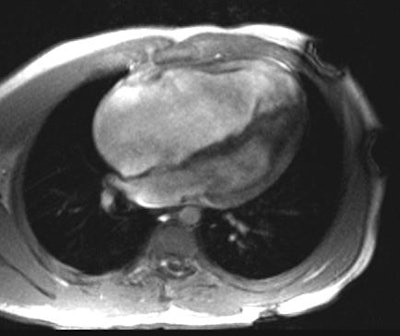
Ebstein's Anomaly:
(Submitted by Dr. Scott D. Flamm, MD)
The axial cine-GRE MR image on the left was obtained at end-systole and the right image at end-diastole. There is massive right atrial enlargement and the tricuspid valve leaflets are extremely long, extending down nearly to the right ventricular apex. There is marked "atrialization" of the right ventricle; and there is almost no coaptation of the valve leaflets during systole.








