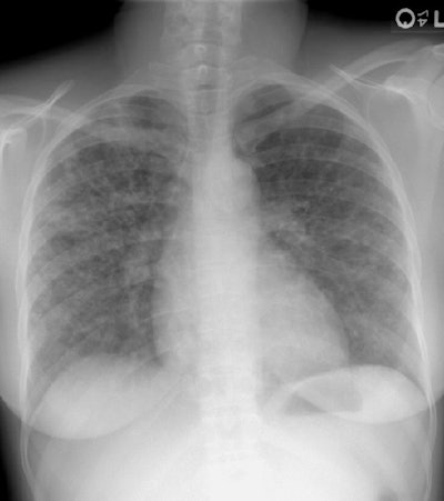
Sarcoid- Stage 3
The patient was an active duty troop who presented with complaints of increasing shortness of breath during physical fitness training. The patient stated that they had been previously diagnosed with sarcoid. Their chest radiograph demonstrated a diffuse reticulonodular appearance to the lungs (which was confluent in areas- particularly the right upper lung) and no evidence of hilar or mediastinal adenopathy. The findings were consistent with stage 3 sarcoid. Very likely the patient had progressed from earlier stages, but those films were not available.








