Hodgkins Lymphoma developing in a patient with sarcoid:
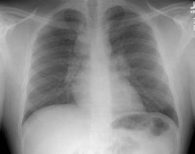
The chest radiograph below is from 1993. At that time this patient was diagnosed with sarcoid. His chest radiograph demonstrates the presence of bilateral hilar and right paratracheal adenopathy. The patient was lost to follow-up and presented in early 1996 due to complaints of increasing fatigue and shortness of breath. A follow-up chest radiograph was obtained.

The film below was from 1997. The right paratracheal mass has enlarged markedly in comparison to the patients old film. This finding was felt to be atypical for sarcoid and a CT was performed.

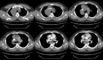
The CT scan demonstrated a large anterior mediastinal/right paratracheal mass which severely compressed the superior vena cava, coupled with mediastinal and subcarinal adenopathy. Mediastinoscopy was performed and the patient was discovered to have Hodgkins lymphoma.








