Idiopathic pulmonary fibrosis
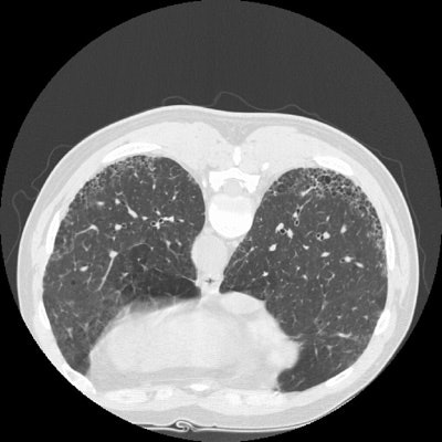
The supine and prone CT images below demonstrate sub-pleural honeycombing within the posterior lower lung zones. The findings are characteristic of UIP. (Click image to enlarge)


The supine and prone CT images below demonstrate sub-pleural honeycombing within the posterior lower lung zones. The findings are characteristic of UIP. (Click image to enlarge)

