
Asymptomatic screening subjects were nearly as likely as symptomatic patients to have extracolonic findings at virtual colonoscopy, radiologists in Italy have reported. The study, in a very mixed population of symptomatic and screening patients, also found a similarly high prevalence of serious extracolonic pathologies between the two groups.
Everyone knows that extracolonic findings are an important component of virtual colonoscopy screening, said Dr. Franco Iafrate from the University of Rome "La Sapienza." The more difficult question is whether following up on them could potentially do more harm than good, and raise costs as well. To answer these questions, more information will be needed about the nature and clinical importance of extracolonic findings that VC reveals, he said.
"We have a dilemma for radiologists," Iafrate said in a presentation at the 2005 European Congress of Radiology (ECR) in Vienna, Austria. Virtual colonoscopy is aimed at reducing morbidity and mortality from colorectal cancer, he said, "but may reveal multiple important extracolonic findings resulting in costly additional examinations and an increase in morbidity."
Iafrate, along with Dr. Roberto Passariello and colleagues from the university's department of radiology, sought to determine the frequency and clinical importance of extracolonic findings in a mixed population of patients who underwent virtual colonoscopy for various reasons. In all the team examined 261 patients (118 men, 143 women, ages 19-89, mean age 58 years) using noncontrast virtual colonoscopy.
Group A patients (n = 185) included 84 asymptomatic screening patients, 43 who had presented with abdominal pain, 30 with incomplete conventional colonoscopy, and 28 patients with known diverticulosis.
Group B patients (n = 76) received IV contrast prior to virtual colonoscopy, and underwent the exam for the purposes of tumor staging in 36 patients, follow-up in 30 patients, and positive fecal blood exam in 10 patients, Iafrate said.
Following standard cathartic bowel prep and manual room-air insufflation (and iodinated IV contrast administration for the group B patients), CT images were acquired on a Volume Zoom multidetector CT scanner (Siemens Medical Solutions, Erlangen Germany).
All patients were scanned in the prone and supine positions at 4 x 2.5-mm collimation, 100 mAs, and 120 kVp. Two experienced radiologists interpreted the images using dynamic window settings on either a Vitrea 2 (version 3.7, Vital Images, Minnetonka, MN) or V3D colon (Viatronix, Stony Brook, NY) software.
The radiologists revealed 276 extracolonic findings, of which 36 patients had colorectal polyps and 43 had cancer. There were 155 patients (59.3%) with extracolonic findings and 106 (40.6%) without extracolonic findings, Iafrate said.
In all, 144 (52.17%) of the findings were classified as minor (little or no clinical importance), 86 (31.15%) were classified as moderate (needing verification of patient history or clinical, radiological, or other follow-up), and 46 (16.6%) were classified as having major potential clinical importance.
Of these 46 major findings in 38 patients, 19 (16 patients) were previously unknown and 27 (22 patients) were already known. "All known cases were confirmed," Iafrate said. Only three of the unknown cases had confirmed benign findings, including a renal mass and a liver mass.
Major findings included abdominal aortic aneurysms (n = 8), multifocal lymphadenopathy (n = 3), multifocal metastases (n = 8), colorectal cancer (n = 6), and pulmonary nodules, Iafrate said. Mesentery tumors that were previously unknown were found in three patients. Nearly 8% of the major findings were found in the screening group that underwent VC without contrast, he said.
Solid liver masses were found in eight patients, including five that were previously known and three not previously known, he said. Among the six cases with confirmed metastases from pancreatic cancer, all were previously unknown, he said. Two patients with potentially major findings received no follow-up.
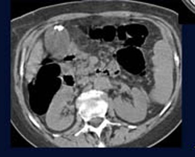
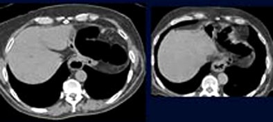
Major, moderate, and minor findings were found in 38, 46, and 71 patients, respectively. The findings of moderate importance included gallstones in 10%, hiatal hernias in 28%, and renal masses in 9%. Renal masses 3 mm and smaller with homogeneous attenuation of 10 HU or less were classified as having a benign appearance and not followed up further, Iafrate said. One renal mass proved to be a carcinoma.
![]() |
| Gallstones constituted 10% of moderately important findings. All images courtesy of Dr. Franco Iafrate. |
![]() |
| Hiatal hernias constituted 28% of moderately important findings. |
Virtual colonoscopy can detect highly significant extracolonic findings, Iafrate concluded. "Incidental extracolonic findings were very common, (comprising) 60% of patients in our population, mostly minor clinical importance in about 30% of our patients, but major clinical importance in around 14% of patients in our mixed population."
![]() |
| The prevalence of potentially clinically important findings was similar between mostly screening patients and mostly symptomatic patients. (Group A [n=185] included 84 asymptomatic screening patients, 43 presenting with abdominal pain, 30 with incomplete conventional colonoscopy, and 28 patients with known diverticulosis. Group B patients [n=76] underwent contrast-enhanced VC, and included 36 patients examined for tumor staging, 36 for follow-up VC, and 10 with positive FOBT exams.) |
Following up insignificant findings could potentially lead to higher costs and morbidity, Iafrate noted. Still, he said, in this study virtual colonoscopy was useful for finding a large number of clinically significant pathologies.
Among the approximate 6% of patients with major findings that were previously unknown, 75% of these patients were found to have a malignant lesion at follow-up, he said.
By Eric Barnes
AuntMinnie.com staff writer
August 17, 2005
Related Reading
VC shows extracolonic findings in most patients, July 28, 2005
VC with contrast finds more extracolonic trouble, April 11, 2005
Panoply of VC studies yields significant extracolonic findings, March 23, 2005
Diagnostic, screening VC comparable in extracolonic disease detection, December 6, 2004
Even low-dose VC yields extracolonic findings, September 21, 2004
Copyright © 2005 AuntMinnie.com























