
Carestream Health won an order for 10 digital radiography (DR) systems in Saudi Arabia after showing that its image processing software could be useful in detecting Middle East respiratory syndrome (MERS).
Carestream said the order developed after representatives from the Saudi Ministry of Health (MOH) several weeks ago canceled a visit to the U.S. to focus on the MERS outbreak, which has killed more than 100 individuals and sickened hundreds more in Saudi Arabia. This led Carestream's manager for Saudi Arabia, Nasser Alsalhabi, to ask the company's U.S. headquarters if there were any tools available to help the country in its battle against MERS.
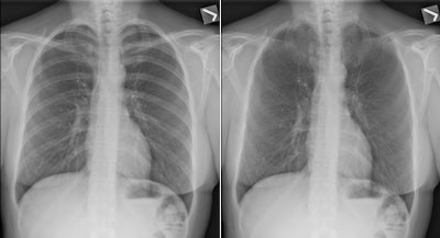
Carestream was able to demonstrate image processing tools in a recent software release for its DRX-Revolution DR system that could help, according to David Foos, Carestream's director of research and innovation laboratories and acting chief technology officer.

The version 5.7 release includes a bone suppression algorithm that enables radiologists to view thoracic soft tissue without the ribs and clavicles in the way, Foos said. Another feature, designed for visualizing tubes and lines, performs aggressive frequency enhancement but also controls noise boost, while a third algorithm offers texture enhancement designed to help radiologists visualize linear features that might be found in pneumothorax.
The three algorithms can be used in what Carestream calls a companion view mode, in which users can toggle back and forth between enhanced and unenhanced images to better visualize changes, Foos said. The mode uses the initial x-ray exposure and thus does not expose patients to additional radiation.
Carestream provided Saudi officials with examples of images with the processing applied; after that, the MOH ordered 10 more DRX-Revolution systems, in addition to the 15 DRX-Revolution and seven DRX-Evolution systems it recently purchased.
The DRX systems will be used to assist in MERS detection in Saudi Arabia, at Prince Mohammed Bin Abdulaziz Hospital in Riyadh, King Abdullah Medical Complex in Jeddah, and Dammam Medical Complex in Dammam. Carestream research scientist Dr. Lynn La Pietra has been working with the MOH to help them diagnose MERS cases.