
The proper installation of orthopedic hardware in the hand and wrist after surgery is usually confirmed with digital radiography (DR). But digital tomosynthesis (DTS) may further enhance visualization around such implants, according to research published online September 11 in Clinical Radiology.
A Swiss research team investigated the differences between using DR and DTS to image osteosynthesis material (OSM) after its surgical implantation into the hand and wrist of patients at University Hospital Zurich.
Though the visualization of orthopedic hardware itself was not necessarily improved, DTS did refine the image quality of fracture healing and ultimately promoted consensus between the radiologists examining each case, senior author Dr. Thomas Frauenfelder told AuntMinnie.com in an email.
"The discrepancy among readers is less for DTS with regard to the delineation of fracture edges," he said. "Higher sharpness of fracture margins was more often seen in early follow-up. This reflects the issue that DR may overestimate the degree of healing."
Evaluating techniques

Postoperative imaging is an important step in assessing the surgical implantation of orthopedic hardware. The current clinical standard is to use DR to view the placement of OSM, which can include a variety of screws, wires, and plates.
However, research has consistently demonstrated notable limitations with DR for these procedures, namely the high subjectivity involved in evaluating the images, Frauenfelder explained.
In a previous study concerning hand fractures, Frauenfelder and colleagues found that the visibility of erosions and degenerative findings was relatively poor in x-rays.
"Conventional x-ray often faces the problem of overlay of different bone structures, and therefore the healing process cannot be assessed adequately," Frauenfelder told AuntMinnie.com.
This finding spurred the team to investigate the possibility of using other imaging modalities -- in this case, digital tomosynthesis -- to improve the evaluation of fracture healing after surgery.
DTS acquires multiple x-rays as the system's tube head moves in an arc of 30° to 60° around the patient. The method is well-established in mammography and is gaining ground for use in orthopedics.
It has been shown to detect more fractures than standard radiography, and although it has a limited depth of field compared with CT, DTS is more affordable and is reported to emit less radiation, according to the researchers.
"In many cases DR will be sufficient, but when we cannot assess the fracture due to superimposition of other structures, DTS is of added value," Frauenfelder said. "Furthermore, there are new surgical techniques coming up -- new types of screws, plates -- where we believe that DTS also provides better insight."
Enhancing fracture imaging
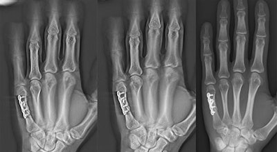
In light of this information, the researchers performed DR and digital tomosynthesis on the same hand or wrist of 35 patients with orthopedic implants. DTS was restricted to a -20° to 20° angle range and used to acquire 30 images of the region of interest in less than six seconds (Clinical Radiology, September 11, 2017).
Two radiologists independently evaluated the quality of each of the images, taking into account features such as the delineation of fracture outlines, positioning, and the appearance of metal artifacts.
The researchers then identified the key differences in image quality between DR and DTS and the degree of agreement between the two radiologists.
Frauenfelder and colleagues found that DTS was significantly better at displaying the outline of fractures and highlighting the space between overlapping tissues, although the overall quality of DR and DTS images was about the same. Image quality was scored on a scale of 1 to 4, with 1 indicating excellent image quality.
Image quality comparison, DR vs. DTS | |||
DR | DTS | p-value | |
Overall quality | 1.49 | 1.63 | 0.378 |
Delineation of fracture margins | 2.28 | 1.54 | < 0.001 |
Delineation of adjacent joint spaces | 2.24 | 1.31 | < 0.001 |
Sharpness of fracture margins | 2.33 | 1.94 | < 0.04 |
Overlap of cortical bone by OSM | 1.26 | 1.06 | < 0.005 |
While there was no statistically significant difference in overall image quality between DR and DTS, digital tomosynthesis does appear to have some advantages, according to the researchers.
"Based on the better results of DTS for delineation of bone structure, better complication detection is evident with DTS than with DR," they wrote.
Another important finding was that interobserver agreement between the two radiologists was markedly higher with DTS. The overall interobserver agreement was "excellent" for DTS (K = 0.96), while it was only "substantial" for DR (K = 0.77).

Deciding between procedures
Despite enhancing the visualization of fracture margins and promoting interobserver agreement, DTS offered no more benefits than DR in terms of making diagnoses -- i.e., assessing osteosynthesis material after surgery. Both had the same scores of 1.03 for positioning and 1 for integrity of OSM. This finding was likely due to the appearance of more metal artifacts with DTS than DR, according to the researchers.
"The impact itself is not high. This is also the reason why we do not state that DTS should replace DR," Frauenfelder said.
The researchers recognized a couple of limitations of the study: They made no image comparisons to CT, and images of OSM complications were not analyzed (because no such hardware complications surfaced).
They believe digital tomosynthesis can be viewed less as a replacement for DR and more as a problem-solving alternative, particularly in situations where DR is unable to adequately depict fractures. What's more, DTS gives better insight into cases where the clinical situation is unclear, they concluded.
"I think that DTS has its niche. It will only play a role in hospitals that have a department dedicated to hand surgery," Frauenfelder said. "Nevertheless, there are other fields of use for DTS, e.g., pelvis, since it offers better visibility of insufficiency fractures. This is what we are currently performing a study on."