Thigh muscle measurements on x-rays are independently associated with one-year mortality following hip fracture surgery, researchers have reported.
The finding is from an analysis among 199 patients over 70 years old, with those with greater muscle diameter having lower odds of dying within a year, noted lead author Duco Laane, MD, of Brigham and Women's Hospital in Boston, and colleagues.
“Overall, these results suggest that radiographic parameters may potentially serve to complement currently used modalities, such as frailty assessment, in supporting individualized care,” the group wrote. The study was published November 19 in JBJS Open Access.
Hip fractures are major life events for geriatric patients, with a one-year mortality rate of 22% to 33% following surgery. Identifying factors associated with such outcomes is an important step for improving individualized care, the authors explained.
Given that sarcopenia, or the presence of low muscle strength, low muscle mass, or low physical performance, is a known risk factor for mortality, the researchers explored whether x-ray thigh muscle measurements were associated with mortality following hip fracture surgery.
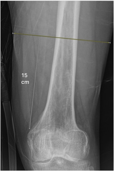
The group gathered data from 199 patients (median age, 85; 68% women) who underwent x-rays during emergency department visits for fractures between 2018 and 2020 and before surgery. The x-rays displayed the distal-and-middle femur, with two musculoskeletal radiology fellows subsequently measuring thigh muscle diameter and soft tissue size using standardized anatomical landmarks.
Example of how thigh muscle diameter measurements were obtained from the anteroposterior radiograph. Diameter of thigh muscle (yellow line) and diameter of whole soft tissue envelope (yellow + white lines) were measured 15 cm proximal to the adductor tubercle.JBJS Open Access
After adjusting for such factors as age, sex, smoking status, preinjury living situation, frailty, and body mass index, the analysis showed that a greater diameter of thigh muscle was associated with significantly lower odds of one-year mortality (odds ratio, 0.74; p = 0.028). This corresponded to an average 26% reduction in odds of one-year mortality for each centimeter increase in thigh muscle diameter, the researchers reported.
“This study revealed that a greater thigh muscle diameter on plain AP radiographs obtained at admission to the emergency department was independently associated with reduced odds of one-year mortality,” the group wrote.
Sarcopenia is an important driver for adverse outcomes after hip fractures, which may include functional decline, impaired quality of life, and mortality, the authors noted. The condition limits patients' ability for early recovery after surgery and increases the risk of complications.
While several studies have shown that lower CT-based muscle mass is independently associated with higher mortality risk following hip fracture surgery, CT scans are not usually part of the workup, they added. Conversely, x-rays are inexpensive, widely available, and part of the routine diagnostic workup, they added.
“Given that sarcopenia is a known risk factor of mortality, and that thigh muscle measurements can serve as a proxy for sarcopenia, these measurements may play a valuable role in the prognostication of outcomes for hip fracture patients,” the group concluded.
The full study is available here.




















