Researchers at Thomas Jefferson University in Philadelphia have developed a novel method for measuring the anterior center edge angle (ACEA), an important parameter on x-rays for assessing hip abnormalities.
In a study, measuring the ACEA using the method yielded more reproducible calculations compared with the traditional measurement method, noted lead author Roland Howard, MD, and colleagues.
“This novel method for measuring the ACEA may provide a valuable modification to measurements of this commonly used parameter,” the group wrote. The study was published August 8 in the Orthopedic Journal of Sports Medicine.
Reproducible and accurate measurements of acetabular coverage -- the extent to which the acetabulum (hip socket) covers the femoral head -- are critical when planning surgeries for hip abnormalities, such as dysplasia and femoroacetabular impingement (FAI), the authors explained.
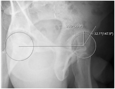
The traditional ACEA measurement technique involves drawing a vertical ray from the center of the femoral head parallel to the lateral margin of the x-ray, followed by an intersecting ray from the center of the femoral head to the lateral margin of the acetabular sourcil. However, this measurement is greatly dependent on patient positioning and imaging technique, the group noted.
In this study, the team investigated whether their novel method, which uses standard x-ray viewing tools to generate a true horizontal reference line and best-fit circles on each femoral head, may allow for more precise assessments.
Anterior center edge angle measurement utilizing a horizontal reference line. Orthopedic Journal of Sports Medicine
For the analysis, the researchers employed a paired t-test to establish the difference between the traditional and novel measurements for each reviewer and used the intraclass correlation coefficient (ICC) to determine interrater and intrarater reliability across both methods.
According to the results, the mean ACEA value obtained using the traditional method was 39.72°, and the mean ACEA value obtained using the novel method was 37.68° (p = 0.36). Intrarater reliability for the novel method was found to be strong (ICC = 0.805-0.966) in all instances.
Meanwhile, interrater reliability was also found to be strong in all instances using the horizontal reference line (ICC = 0.831-0.902), but was weak for two of three reviewers using the traditional method (ICC = 0.42, 0.585, and 0.769), the researchers reported.
“This study demonstrated that utilization of a horizontal reference line in the false-profile view when measuring the ACEA yielded more reproducible calculations, both between separate physicians and within a physician's individual measurements, compared with the traditional measurement method,” the group wrote.
The authors noted limitations, namely that the new method for measuring the ACEA is only able to control for patient mispositioning in the coronal plane. Thus, there may still be variability present secondary to inconsistent pelvic tilt and/or rotation, they explained.
Nonetheless, patient outcomes after the arthroscopic treatment of FAI hinge on the accuracy of preoperative measurements, as hip arthroscopic surgery in patients with hip dysplasia has been shown to have worse outcomes than in patients without hip coverage abnormalities, the group wrote.
“Consideration should be given to utilizing the novel method for measuring the ACEA as a standardized technique in future research efforts on hip dysplasia and femoroacetabular impingement,” Howard and colleagues concluded.
The full article is available here.




















