
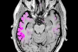
Flortaucipir-PET scans revealed high amounts of tau protein in brain regions associated with chronic traumatic encephalopathy (CTE) in former professional football players, potentially enabling this disease to one day be diagnosed before death, according to new research in the New England Journal of Medicine.
In comparison with control cases, the former professional football players with cognitive, mood, and behavioral issues had significantly higher levels of tau. What's more, the multi-institutional team of researchers found that the more years of tackle football played, the higher the levels of tau detected by PET. Notably, however, the researchers didn't find any relationship between tau PET levels and cognitive test performance or severity of mood and behavior symptoms.
"The results of this study provide initial support for the flortaucipir-PET scan to detect abnormal tau from CTE during life. However, we're not there yet," said co-author Robert Stern, PhD, professor of neurology, neurosurgery, and anatomy and neurobiology at Boston University School of Medicine, in a statement. "These results do not mean that we can now diagnose CTE during life or that this experimental test is ready for use in the clinic."
Currently diagnosed only on post-mortem analysis of brain tissue, CTE is a neurodegenerative disease that has been linked to repetitive head impacts, such as those that occur in contact sports. It also is associated with the accumulation of tau deposits initially in the frontal, temporal, and parietal cortices of the brain and eventually throughout the cerebral cortex and brain stem. Unlike Alzheimer's disease, CTE is associated with a lack of amyloid plaque accumulation.
In their study, the researchers included 26 former National Football League (NFL) players (mean age, 57.0 ± 8.4 years) who played an average of 9.1 years (± 3.0 years) and reported abnormal cognitive, mood, and behavioral symptoms, as well as 31 asymptomatic control participants (mean age, 60.3 ± 6.0 years) with no adverse cognitive issues and no history of traumatic brain injury (NEJM, April 10, 2019).
Each subject underwent flortaucipir-PET brain scans to detect the levels and location of tau and florbetapir-PET imaging for amyloid-beta deposits. The protocol included an intravenous injection of 370 MBq (10 mCi) of flortaucipir (Avid Radiopharmaceuticals) and approximately 370 MBq (10 mCi) of florbetapir (Amyvid, Avid). Avid provided partial funding for the study.
The researchers used automated image-analysis algorithms to compare the differences in mean standardized uptake volume ratios (SUVRs). Significantly greater overall uptake of flortaucipir -- and, therefore, tau protein -- was evident among the former football players, compared with controls. The most significant differences were in the bilateral superior frontal, bilateral medial temporal, and left parietal regions, all of which are associated with confirmed post-mortem cases of CTE.
| Mean SUVRs of flortaucipir-PET scans in CTE-related brain regions | |||
| Control subjects | Former NFL players | p-value* | |
| Bilateral superior frontal | 0.98 | 1.09 | < 0.001 |
| Bilateral medial temporal | 1.12 | 1.23 | < 0.001 |
| Left parietal | 1.01 | 1.12 | 0.002 |
Conversely, florbetapir-PET images showed no statistically significant difference in maximum standardized uptake value between the players (mean, 0.96) and the control group (mean, 0.97) relative to amyloid accumulation. This suggests that the cognitive difficulties reported by the former players were not related to Alzheimer's disease amyloid-beta deposition, according to the researchers.
"Our findings suggest that mild cognitive, emotional, and behavioral symptoms observed in athletes with a history of repetitive impacts are not attributable to Alzheimer's disease, and they provide a foundation for additional research studies to advance the scientific understanding, diagnosis, treatment, and prevention of CTE in living persons," said co-author Dr. Eric Reiman, executive director of Banner Alzheimer's Institute in Phoenix, in a statement. "More research is needed to draw firm conclusions, and contact sports athletes, their families, and other stakeholders are waiting."
With that goal in mind, the authors said they are now working with additional researchers to conduct the Diagnose CTE Research Project, a longitudinal study involving former NFL players, former college football players, and people without a history of contact sports play. Initial results from that U.S. National Institutes of Health-supported study are expected in early 2020.


















