
The COVID-19 vaccine shows uptake on FDG-PET/CT, and radiologists should be careful not to confuse it with recurrent disease, according to an image review published January 28 in Radiology.
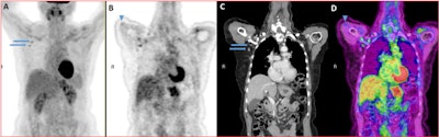
Drs. Michal Eifer and Yael Eshet of Sheba Medical Center in Tel-Hashomer, Israel, shared an image of a 72-year-old woman who underwent a follow-up FDG-PET/CT scan after left lumpectomy, sentinel lymph node biopsy, and chemotherapy for HER2+ breast cancer in 2017. The woman received the Pfizer COVID-19 vaccine in her right deltoid muscle 10 days before the scan.

The scan was normal except for some uptake in that muscle and in two right axillary lymph nodes which were of normal size -- findings that likely show effects of the recent COVID-19 vaccine rather than recurrent breast cancer, according to the two researchers.
"This case highlights a potential major FDG-PET/CT pitfall, which will probably be abundant in the next few months as the world is entering a phase of massive immunization against COVID-19," they wrote.