Middle neck involvement (MNI) appears to be a key prognostic factor for N1 and N2 nasopharyngeal carcinoma (NPC), researchers have found.
Tracking MNI in this disease helps assess risk in patients who have a relatively small primary tumor in the nasopharyngeal area that has spread to one or more nearby lymph nodes but does not have distant metastasis -- as well as in those with disease that has and spread to one to three nearby lymph nodes but has not metastasized, wrote a team led by Guan-Jie Qin, MD, of Sun Yat-sen University Cancer Center in Guangzhou, China. The group's results were published August 26 in Radiology.
"Our study establishes middle neck involvement as an independent prognostic determinant in N1 and N2 nasopharyngeal carcinoma," it noted. "Combining middle neck involvement with [node] staging improves distant metastasis risk prediction accuracy, facilitating the development of a refined risk-adaptive treatment framework."
The prognostic repercussions of MNI -- which the authors define as cervical lymph node metastasis between the caudal border of the hyoid bone and the cricoid cartilage -- are unclear in NPC, they explained. The team investigated the question via a study that included 9,795 patients with N1 or N2 NPC without distant metastasis who were treated between April 2009 and December 2017. It categorized study participants by presence or absence of middle neck involvement as identified on MR imaging.
Of the total patient cohort, 1,668 (17%) had middle neck involvement, with prevalence rates of 11.4% in the N1 subgroup and 34.7% in the N2 subgroup.
The study's key finding was that MNI was an independent prognostic factor across a variety of measures, including reduced metastasis-free survival, overall survival, and disease-free survival in both the N1 (all p < 0.001) and N2 subgroups (p = 0.001, 0.02, and 0.04, respectively).
The team also reported the following:
Outcomes in patients with T3N1 disease, with and without middle neck involvement* | ||
Measure | With middle neck involvement | Without middle neck involvement |
| Five-year metastasis-free survival | 84.6% | 91.7% |
| Overall survival | 84.3% | 90.6% |
| Disease-free survival | 74.4% | 83.6% |
| *All findings were statistically significant | ||
"Lymph node metastases between the hyoid bone and cricoid cartilage were associated with worse five-year metastasis-free survival in patients with N1 or N2 nasopharyngeal carcinoma than those without nodal metastases in the middle neck," the researchers noted.
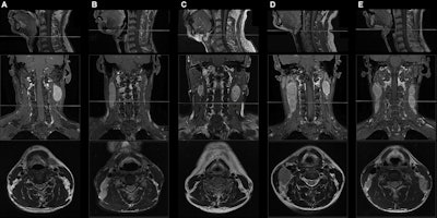
Sagittal T1-weighted fat-suppressed contrast-enhanced MRI scans (top row) show the caudal border of the hyoid bone. Coronal T1-weighted fat-suppressed contrast-enhanced (middle row) and axial T2-weighted MRI scans (bottom row) show the presence or absence of middle neck involvement in five patients with N1 or N2 nasopharyngeal carcinoma (NPC). (A) A 49-year-old male patient with N1 NPC and without middle neck involvement. (B) A 45-year-old male patient with N1 NPC and middle neck involvement. (C) A 49-year-old male patient with N2 NPC and without middle neck involvement. (D) A 30-year-old female patient with N2 NPC and unilateral middle neck involvement. (E) A 19-year-old male patient with N2 NPC and bilateral middle neck involvement. Images and caption courtesy of the RSNA.
The study suggests a new way to stratify risk in NPC, wrote Pejman Maralani, MD, and colleague Heejun Kang, MD, both of the University of Toronto in Canada, in an accompanying editorial.
"These results are highly relevant as clinicians seek to move beyond traditional TNM [tumor, node, metastasis] staging toward more nuanced and individualized risk stratification models," the two wrote. "Radiologists are uniquely positioned to contribute to this evolution by integrating prognostically significant imaging features into staging and treatment planning … [and middle neck involvement] is one such feature that is immediately accessible, clinically meaningful, and deserves further investigation."
The complete study can be found here.



.fFmgij6Hin.png?auto=compress%2Cformat&fit=crop&h=100&q=70&w=100)





.fFmgij6Hin.png?auto=compress%2Cformat&fit=crop&h=167&q=70&w=250)











