
Contrast-enhanced ultrasound (CEUS) improves diagnostic performance of higher Ovarian-Adnexal Reporting and Data System (O-RADS) categories that indicate malignancy, a study published August 8 in Radiology has found.
Researchers led by Kun Yuan from Sun Yat-Sen University in Shenzhen, China, reported that combined CEUS and O-RADS significantly outperformed O-RADS alone when assessing suspicious ovarian findings.
While O-RADS is typically used to stratify risk for ovarian masses, the researchers noted that it has limited specificity for malignancy. CEUS has been shown to distinguish between malignant and benign lesions, but the researchers pointed out that its effect on O-RADS has not been studied.
Yuan and co-authors sought to investigate how combining CEUS with O-RADS could help enhance diagnostic performance over O-RADS alone through a study that included data from 122 women who had undergone CEUS before surgery and had lesions categorized as O-RADS 3, 4, or 5 by ultrasound.
Of the total study participants, 76 were placed into a pilot group and 46 into a validation group. In the pilot group, the team assessed the initial enhancement time and enhancement intensity in comparison with the uterine myometrium, contrast agent distribution pattern, and dynamic changes in lesion enhancement. It also used CEUS features to determine scores for benign (score ≤ 2) and malignant (score ≥ 4) lesions. From there, lesions were re-rated according to O-RADS category plus CEUS scores.
The researchers found that, using ultrasound with the O-RADS metric, risk stratification was upgraded one level for CEUS scores of 4 or more and downgraded one level for CEUS scores of 2 or less. According to the combined method, 26 of 34 benign lesions categorized as O-RADS 4 were correctly downgraded to category 3, while 10 of 12 malignant lesions were correctly upgraded to O-RADS 5 in the pilot group. CEUS scores of 3 or more or 4 or more showed sensitivities of 91% and 74% and specificities of 77% and 94% for malignancy, respectively.


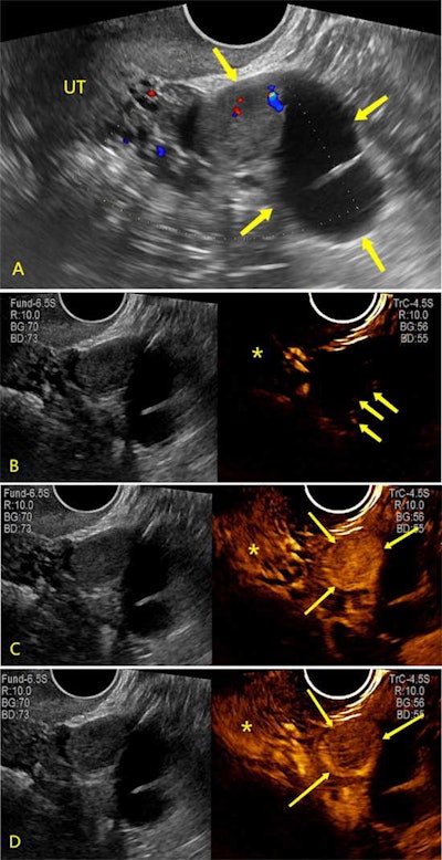
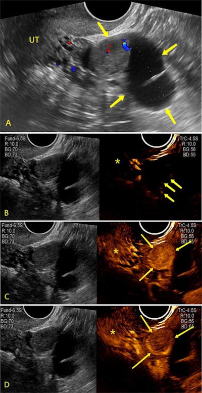
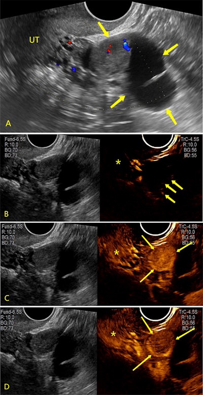
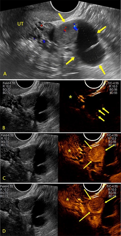
Ultrasound images show fallopian tube carcinoma in a 58-year-old woman. (A) Image shows a unilocular cyst with solid component (arrows) in the left adnexal area, which was categorized as O-RADS 4. UT = normal uterus. Color Doppler flow image shows minimal flow in the lesion. (B-D) Ultrasound (left) and CEUS images display the same plane simultaneously. (B, C) CEUS images show earlier enhancement (arrows) and higher enhancement intensity (arrows) in comparison with myometrium (*). CEUS shows earlier enhancement (arrows in B) and higher enhancement intensity (arrows in C) in comparison with myometrium (*). (C, D) Dynamic changes in CEUS from hyperenhancement to hypo-enhancement (arrows) compared with myometrium (asterisk) were observed. This lesion was upgraded to O-RADS CEUS 5 because the CEUS score was 5. Images and caption courtesy of RSNA.
In the validation group, combining O-RADS and CEUS led to higher diagnostic performance, the researchers reported. This included an area under the receiver operating characteristic curve (AUC) of 0.93 compared to an AUC of 0.71 for O-RADS alone (p < 0.001).
Using CEUS can help reduce the chance of putting benign tumors into higher risk categories, the group wrote, noting that most cancers found in their study showed early or synchronous enhancement, as well as hyper- or iso-enhancement compared with myometrium findings.
In an accompanying editorial, Edward Grant, MD, from the University of Southern California in Los Angeles agreed that adding CEUS to O-RADS may lead to improved diagnosis of ovarian masses. He added that this could also lessen the need for MRI, decreasing medical costs.
"Obviously, a key point to be made here is the need for additional studies," Grant wrote. "Clearly, major changes in the imaging evaluation of a critical health problem such as ovarian masses would need to have positive results from multiple large investigations."
The full study can be found here.




















