
Digital breast tomosynthesis (DBT) boosts radiologists' cancer detection rate compared to full-field digital mammography (FFDM) alone, according to a multicenter, multireader study that evaluated reader performance with DBT.
"Tomosynthesis helped (the readers) make a decision and took away an element of inconclusivity," said Dr. Elizabeth Rafferty, in an interview with AuntMinnie.com. Rafferty is the director of breast imaging at the Avon Comprehensive Breast Center at Massachusetts General Hospital in Boston. She presented her group's findings at the 2007 RSNA meeting in Chicago.
For this study, 12 radiologists at five clinics took part in the trial, which compared radiologists' cancer detection rates and screening recall rates using DBT technology developed by Hologic of Bedford, MA. Rafferty's group received research support from Hologic for the study.
The radiologists read 316 sets of soft-copy imaging data randomly drawn from 1,083 women who underwent FFDM and DBT screening. The study focused on sensitivity, specificity, and recall rates among the readers.
Rafferty said the readers received training on a little more than 200 DBT exams before participating in the study. The FFDM exams were scored using the BI-RADS system and a probability of malignancy scale. Readers then reviewed the FFDM and DBT exams together and scored the combined exams. Reader performance in the interpretation of FFDM alone and DBT was assessed with receiver-operator characteristic curve (ROC) analysis and a comparison of the recall rates.
![]() ![]() |
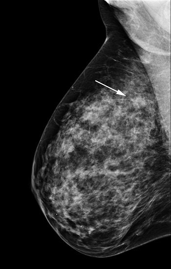
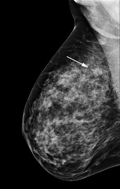
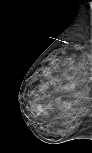
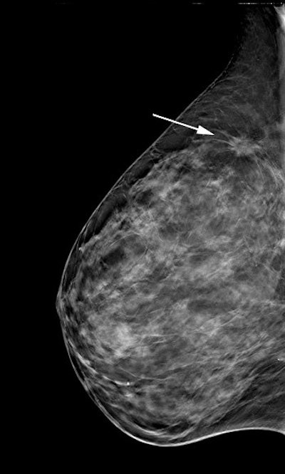
| Tubulolobular adenocarcinoma seen on conventional digital mammogram (left) and in a slice from a tomosynthesis dataset (right). Image courtesy of Hologic. |
The results showed that the ROC curve was superior for DBT compared to FFDM alone for all 12 readers, with the area under the ROC increasing by 0.071 using the BIRADS scale and 0.072 using the probability of malignancy scale. DBT had a sensitivity of 76.2% versus 65.5% for FFDM alone and a specificity of 89.2% versus 84.1%. The mean recall rate was reduced by 42.6%.
While assessing the time required for interpreting DBT images was not part of the study, the readers offered subjective feedback. "A majority of the radiologists did finish in less than half the time" it took using conventional mammography, and "they were able to read 20-25 cases an hour," Rafferty said.
Rafferty said the U.S. Food and Drug Administration is currently reviewing DBT technology, and that approval of the first commercial DBT system may be close at hand.
By Kathlyn Stone
AuntMinnie.com contributing writer
December 28, 2007
Related Reading
Digital breast tomo cuts callback rate in screening setting, December 20, 2007
DBT: Not a panacea, but promising technology is unfairly panned, October 30, 2007
DBT unlikely to hit its target as savior of breast cancer screening, June 26, 2007
Copyright © 2007 AuntMinnie.com





















