Diagnostic imaging startup Calidar has initiated the first in-human study of its x-ray diffraction 4D Mammography system, announcing its successful use on August 19.
The procedure was the first known in-human measurement of x-ray diffraction spectra, according to the firm.
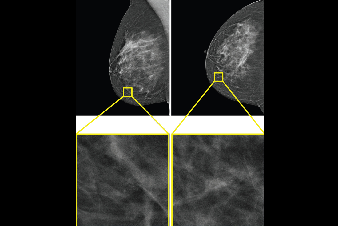
The system’s x-ray diffraction technology measures how x-rays scatter at the molecular level, producing a unique structural signature that reflects the internal composition of breast tissue.
In ex vivo studies of breast tissue, the tissue-specific signatures enabled classification of cancerous and benign samples with four times the precision of conventional imaging techniques, Calidar said.
The study will evaluate how well the 4D Mammography system can distinguish between healthy tissue and breast cancer in patients, as well as compare its performance with existing mammogram systems. The study is being conducted in collaboration with Baptist Health Hardin in Elizabethtown, KY.
Calidar, a startup from Duke University, said that while the current study is focused on the diagnostic use of the 4D Mammography system, with patients who have findings requiring evaluation, future studies are planned to investigate the system’s use in breast cancer screening.
The 4D Mammography system is investigational and has not been cleared or approved by the U.S. Food and Drug Administration (FDA). The system is not available for commercial sale and is limited to investigational use in the U.S. under the FDA's abbreviated Investigational Device Exemption (IDE) requirements.

















