
SAN DIEGO - CT can characterize the type of fat an obese COVID-19 patient has -- and thus help predict the severity of the disease, according to a presentation delivered September 16 at the International Society for Computed Tomography (ISCT) meeting.
Understanding whether a COVID-19 patient's adipose tissue is subcutaneous or visceral is important, said presenter Dr. Bari Dane of NYU Langone Medical Center in New York City.
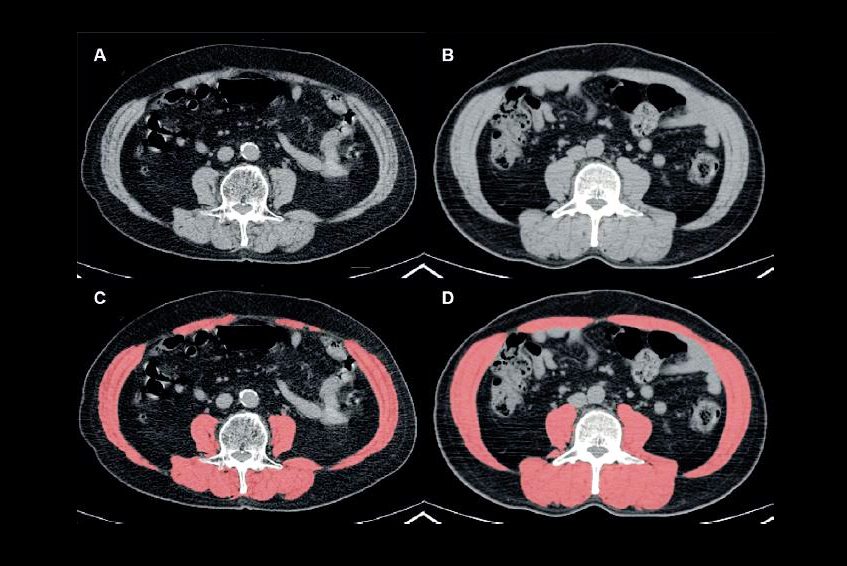
"Fat deposits are not all equal," Dane told session attendees. "[We found levels of] visceral adipose tissue and muscle adipose tissue significantly different in COVID-19 inpatients versus outpatients."
COVID-19 has now claimed more than one million American lives since it emerged in 2019, Dane noted. Known risk factors for the illness include older age, male sex, Black race, and comorbidities such as diabetes, hypertension, and cardiopulmonary disease. Obesity is also a risk factor for more severe COVID-19 and can lead to higher rates of hospitalization, ventilation, and death.
Obesity is typically measured by the body mass index (BMI) formula, which calculates a score based on a person's tissue mass (muscle, adipose, and bone) and height. BMI offers a broad picture of a patient's health, but body composition is actually more nuanced, Dane said. She and her colleagues explored whether visceral or subcutaneous fat visualized on CT correlated with COVID-19 disease severity and/or with BMI via a study that included 51 patients (10 outpatients, 30 people hospitalized but not ventilated, and 11 individuals who were both hospitalized and ventilated).
Dane's group found that the presence of higher levels of visceral fat translated into a statistically significant increase in the severity of COVID-19 -- a result that did not correlate with individuals' BMI scores, which suggests that BMI is a less useful measure for predicting hospitalization (subcutaneous fat did not have this same association but had a strong correlation with BMI). The same was true for muscle: Higher levels of muscle fat were significantly linked to increased COVID-19 severity (p<0.001).
From these results, Dane's group developed a model to predict a patient's odds of being hospitalized with COVID-19.
| Hospitalization prediction model for patients with COVID-19 | |
| Factor | Odds ratio* |
| Male sex | 3.01 |
| BMI | 1.12 |
| Race (Black) | 3.33 |
| Visceral/total adipose tissue | 1.42 |
| Visceral/total adipose tissue plus sex | 2.00 (female) 1.07 (male) |
| Muscle adipose/muscle mass plus sex | 1.0 (female) 1.16 (male) |
Image courtesy of Dr. Bari Dane.The takeaway? CT provides important data for predicting COVID-19 severity in obese patients that go beyond the basic BMI measure, according to Dane.
"Visceral and muscle adipose [measurements] provide synergistic information not reflected in BMI," she concluded.



















