Cardiac > Adultdz > Torsion > Images > Case1

Cardiac Torsion

(Click on small images to view radiographs)

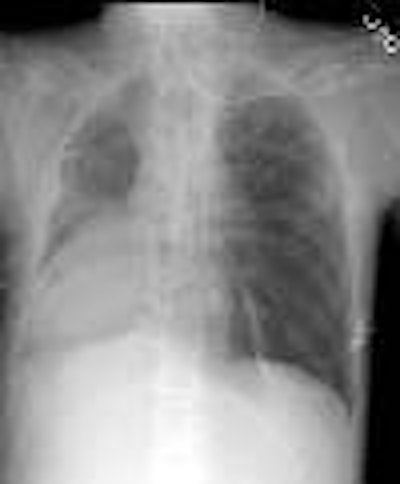
Torsio1aThe patient had a known central right lower lung bronchogenic carcinoma. He presented with massive hemoptysis. The admission chest radiograph demonstrated dense consolidation and volume loss within the right lower lung.

Torsio2aBronchial artery arteriogram demonstrated a bronchial artery to pulmonary artery fistula (arrow) and bronchial artery embolization was performed.

Unfortunately, the patient's hemoptysis persisted, and the patient required right lung pneumonectomy. At surgery, the tumor was found to be adherent to the pericardium, which was partially resected, but not closed. Post operatively, the patient became clinically unstable and hypotensive.

Torsio3aThe post-operative chest radiograph demonstrated complete shift of the cardiac silhouette into the right hemithorax, however, the cardiac apex appeared to be on the right- a finding which was suspicious for cardiac torsion.

Torsio4a A pleural tube was inserted into the right chest and air instilled to better outline the heart- again- the findings were suspicious for cardiac torsion.

Torsio5aFinally, a Swan-Ganz catheter was placed (arrow) and confirmed the cardiac torsion, which was corrected surgically.

Page 1 of 16
Next Page