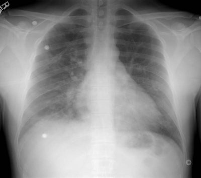
High Altitude Pulmonary Edema:
The patient shown below was an Intern who presented with shortness of breath after climbing Mount Rainer. The portable CXR revealed patchy alveolar airspace abnormalities predominantly confined to the mid and lower lung zones.







