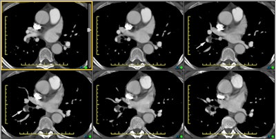
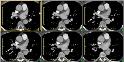
Chronic Pulmonary Emboli:
The CT scan below is from a patient with chronic pulmonary embolism. The white arrows denote vessels with thrombus that is eccentric and has been incorporated into the vessel walls.


The CT scan below is from a patient with chronic pulmonary embolism. The white arrows denote vessels with thrombus that is eccentric and has been incorporated into the vessel walls.

