Advances in CT technology over more than two decades have translated into routine radiation dose reductions while preserving diagnostic performance, according to a review published February 4 in the American Journal of Roentgenology.
In a "state of the modality" article, researchers Cynthia McCollough, PhD, and Lifeng Yu, PhD, both of Mayo Clinic, Minnesota, noted that this progress is due to a combination of hardware and algorithm innovations developed since 2000.
"[This combination has] allowed for CT dose reductions by a factor of two to 10," the two noted.
CT radiation risk concerns have fostered advances in radiation dose reduction technology, including added beam filtration, dynamic z-axis collimation, automatic tube current modulation and tube potential selection, advanced iterative reconstruction, and deep learning-based reconstructions, the authors explained.
"Despite the ongoing debate regarding the shape of the dose response relationship at the low radiation doses used in CT and the magnitude of risk, widespread agreement exists that, with CT utilization increasing and CT now contributing a large percentage of radiation dose to the public, it is essential to maintain the lowest reasonably possible CT radiation doses while preserving diagnostic performance," they wrote.
In their review, McCollough and Yu tracked 25 years of CT dose reduction milestones, noting in particular that photon-counting detector CT (PCCT) technology "represents a major leap forward in dose efficiency."
"[PCCT] improves signal quality by rejecting electronic noise, optimizing photon-energy weighting, and enabling ultrahigh-resolution acquisitions without proportional dose penalties," they wrote.
Summary of reported CT dose reductions with use of deep-learning methods based on primary studies* | ||
Study year | Evaluated deep-learning reconstruction method | Reported dose reduction with deep-learning reconstruction |
| 2020 | GE TrueFidelity | 46% to 56% |
| 2021 | GE TrueFidelity | 7% to 33% |
| 2021 | Canon AiCE | 52% |
| 2022 | GE TrueFidelity | 65% |
| 2023 | GE TrueFidelity | 50% |
| 2023 | GE TrueFidelity | 50% to 90% |
| 2024 | ClariPI ClariCT.AI | 67% |
| 2025 | Canon AiCE | 45% |
| *Table data courtesy of the American Journal of Roentgenology | ||
Despite the review's positive findings, McCollough and Yu stressed that "dose reduction alone is not a sufficient metric of progress," explaining that "diagnostic performance must be preserved through objective, task-based image quality assessment, particularly as deep learning-based reconstruction and postprocessing tools are increasingly deployed in clinical practice."
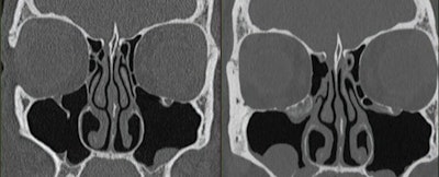
47-year-old’s sinuses evaluation using both energy-integrating detector (EID), left, and PCCT, right, scanners. Coronal images are shown. PCCT examination included additional dose reduction methods including tin filtration and ultrahigh-resolution acquisition. Volume computed tomography dose index is lower for PCCT than for EID scanner (9 vs 26 mGy, respectively); yet, PCCT image has less noise. EID CT examination was performed on Siemens Sensation 64 scanner with following parameters: detector configuration, 32x0.6 mm; z-flying focal spot (64x0.6 mm); tube potential, 120 kV; rotation time, 1 second; helical pitch, 0.9; effective mAs, 170; kernel, H70; slice thickness, 0.75 mm; matrix, 512. PCCT examination was performed on Siemens NAEOTOM Alpha scanner with following parameters: detector configuration, 120x0.2 mm; tube voltage, 100 kV with added tin filter; rotation time, 1 second; helical pitch, 0.85; kernel, Hr72 with QIR strength setting of 3; slice thickness, 0.6; mm; matrix, 1024.American Journal of Roentgenology
"Continued progress in CT dose reduction will depend on close collaboration among radiologists, technologists, and medical physicists, as well as careful validation of emerging technologies to ensure patient safety without compromising diagnostic accuracy," McCollough and Yu concluded.
Access the full review here.





















