
Years before Huntington's becomes a full-blown disease, a genetic mutation may be found in some people that predisposes them to the degenerative illness. Earlier brain imaging studies have shown that progressive neuronal dysfunction may influence the clinical course of the disease. Now researchers from Italy and the U.K. have applied MRI and FDG-PET to the presymptomatic brain in Huntington's disease.
More specifically, Dr. Andrea Ciarmiello and colleagues measured in vivo brain volumes in 71 subjects with presymptomatic to advanced Huntington's disease using MRI. The same patients also underwent FDG-PET to evaluate shifts in brain glucose metabolism.
"We found that a decline in global brain volume, expressed as an increased in (fractional cerebral spinal fluid), was the best determinant of the rate of symptom progression, with the advanced clinical stages being associated with the greatest (fractional cerebral spinal fluid)," wrote Ciarmiello's group (Journal of Nuclear Medicine, February 2006, Vol. 7:2, pp. 215-222).
Ciarmiello is from the nuclear medicine unit at the Instituto di Ricovero e Cura a Carattere Scientifico (IRCCS) in Naples, Italy. Other authors are from the IRCCS neurogenetics and neuromed units in Isernia, Italy; the University "La Sapienza" in Rome; and the Cambridge Institute for Medical Research in the U.K.
For this study, 71 gene-positive subjects underwent 1.5-tesla MRI (Magnetom Symphony, Siemens Medical Solutions, Erlangen, Germany) with an acquisition protocol that included two sets of 15 slices, covering the entire brain and sampling it at 30 levels. For each MRI study, the following calculations were made:
- Total intracranial volumes of gray matter (GM), white matter (WM), and cerebrospinal fluid (CSF)
- Absolute volumes for GM, WM, and CSF
- Intracerebroventricular volume (ICV)
- Fractional volume for CSF (fCSF), GM (fGM), and WM (fWM)
PET imaging (ECAT Exact 47, CTI Molecular Imaging, Knoxville, TN, and Siemens Medical Solutions) was done after a 300-MBq injection of F-18 FDG. Emission scanning was performed for 25 minutes in 2D mode. The PET studies were coregistered with MR images for integrated analysis.
According to the results, the MR scans showed a greater loss of fGM and fWM volumes in patients with Huntington's than in healthy controls. In addition, a significant correlation was found between the fGM decrease and fCSF increase.
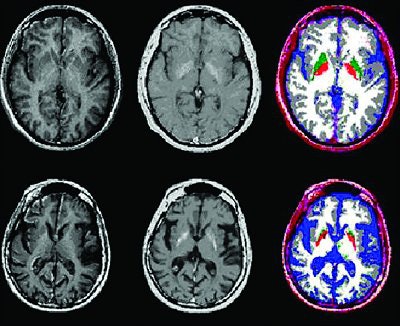
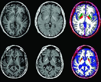
![]() |
| Axial MR images from healthy subject (top row) and patient with symptomatic Huntington's disease (bottom row). Note smaller fGM and fWM volumes in patient with Huntington's compared to healthy subject. Slices represent R1 and R2 relaxation rates and corresponding segmented images. Segmented images are coded gray for GM, white for WM, blue for CSF, green for putamen, and bright red for globus pallidus. |
All the presymptomatic subjects who were considered at risk for the disease had significantly smaller fWM volumes and larger fCSF volumes than did the healthy controls. A second, follow-up MR exam showed a significant decrease in fWM volumes over time in presymptomatic subjects.
Based on the PET exams, Huntington's disease patients had lower FDG uptake bilaterally in the frontal and temporal lobes, as well as the striatum, when compared with healthy controls. Subjects in the preclinical stage of the disease showed lower striatal FDG uptake versus healthy controls, as well as reduced FDG uptake in the frontal and temporal cortex bilaterally. For the patients who underwent a follow-up PET study, those with Huntington's showed a decrease in FDG uptake in cortical brain areas. The same held true for presymptomatic patients.
![]() |
| Graph showing positive linear correlation between decline in F-18 FDG uptake in caudate (above A; r2 = 0.34, p = 0.003) or putamen (below B, r2 = 0.44, p = 0.0001) and estimate number of years until Huntington's disease onset in presymptomatic gene-positive subjects. Positive linear correlation was found between decreased striatal F-18 FDG uptake and expected years until onset. Andrea Ciarmiello, Milena Cannella, Secondo Lastoria, Maria Simonelli, Luigi Frati, David C. Rubinsztein, and Ferdinando Squitieri, "Brain White-Matter Volume Loss and Glucose Hypometabolism Precede the Clinical Symptoms of Huntington's Disease" (J Nucl Med 2006; 47;215-222, Figures 2 and 5). |
![]() |
"We found neuroimaging evidence of decreased brain WM volume beginning many years before the onset of clinical (Huntington's disease)," the authors stated, adding that the results are "an important new finding possibly providing a potential marker for the severity of presymptomatic neuropathologic events."
The authors suggested that these neurological changes may arise from cell death, neuronal dysfunction because of altered neuronal energetic metabolism, and intradendritic Huntington's protein aggregates. The latter play a major part in the patterns of neuronal death in Huntington's disease (Journal of Neuroscience, April 1, 1999, Vol. 19:7, pp. 2522-2534).
By Shalmali Pal
AuntMinnie.com staff writer
March 30, 2006
Related Reading
GE, Harvard partner on neurodegenerative disease research, November, 28, 2005
MRS shows cost-benefit strength for brain tumor diagnosis, January 28, 2005
Copyright © 2006 AuntMinnie.com
















![A 53-year-old patient (patient number four) with a recurrent pituitary adenoma with extension of a cystic component of disease to the medial temporal lobe apparent on MRI (contoured in blue), and extension of disease to the left sphenoid bone and orbital apex apparent on [68Ga]Ga-DOTA-TATE (contoured in yellow).](https://img.auntminnie.com/mindful/smg/workspaces/default/uploads/2026/04/pituitary-tumor.QGsEnyB4bU.jpg?auto=format%2Ccompress&fit=crop&h=112&q=70&w=112)






