
MRI scans show that babies born to mothers with gestational diabetes have more body fat at 2 months of age than those born to healthy women, according to a new study from the U.K. published May 12 in Diabetes Care.
Researchers from Imperial College London used MR to measure body fat in 86 babies, acquiring images shortly after the babies were born and again when they were 8 to 12 weeks old. Forty-two of the babies had mothers with gestational diabetes, and 44 had mothers without the condition.
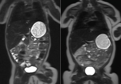
MRI scans of two babies at 10 weeks old. The child on the left was born to a healthy mother, while the child on the right was born to a mother with gestational diabetes. The white area on the outside of the body is fat tissue. Image credit: Imperial College London.Gestational diabetes affects approximately one in 20 pregnant women in the U.K. and nearly one in 10 in the U.S., wrote lead author Dr. Karen Logan and colleagues (Diabetes Care, May 12, 2016).
"Gestational diabetes is becoming more and more common, and babies born to these mothers are at increased risk of developing diabetes when they grow up," Logan said in a statement released by the college. "Therefore we need to understand what effects maternal diabetes has on the baby."
The babies were fed before the MRI scans, and after they fell asleep, they were given earmuffs and placed on a special beanbag before going into the scanner. Most slept through the 20-minute exam, according to the researchers.
The babies wore special earmuffs to protect them from the noise of the scanner. Image credit: Lucinda Winckworth.Although babies born to mothers with gestational diabetes had no difference in body fat at birth when compared with those born to healthy mothers, at 2 months old, they had 16% more body fat than the control group.
The reason for the difference isn't clear. Possible factors include changes in the baby's metabolism while in utero or differences in breast milk composition in mothers with gestational diabetes, senior author Dr. Neena Modi said in a statement.
"The majority of babies in our study were breast-fed, and previous studies have suggested that diabetes may cause changes in breast milk -- so that it contains more sugar, fat, or different levels of compounds that control appetite, called hunger hormones," Modi said.
The women in the study with diabetes kept it under control; however, the findings suggest that even good treatment during pregnancy may not prevent longer-term problems for babies, according to Logan and colleagues.
The team plans next to investigate the composition of breast milk from mothers with gestational diabetes.




.fFmgij6Hin.png?auto=compress%2Cformat&fit=crop&h=100&q=70&w=100)




.fFmgij6Hin.png?auto=compress%2Cformat&fit=crop&h=167&q=70&w=250)











