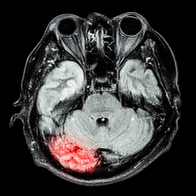
Royal Philips will integrate Cortechs.ai’s NeuroQuant brain analysis software into its MRI scanners.
Under an extended partnership, Philips said the companies aim to deliver more standardized and data-driven imaging. NeuroQuant provides quantitative analysis of MRI scans in patients with neurological conditions such as Alzheimer’s disease, multiple sclerosis, and brain tumors.
Integrating quantitative analysis tools directly into the scanners provides clinicians with objective, numerical data alongside images, which enables faster and more consistent diagnoses, Philips added.



















