Extrinsic Allergic Alveolitis:
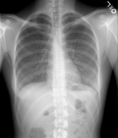
The patient was a middle aged female who had recently acquired several birds as pets. She had developed symptoms of progressive dyspnea and presented for evaluation. Her chest radiograph demonstrated ground glass opacity and a fine micronodular pattern predominantly involving the mid and lower lung zones (Click image to magnify). The patient sold her birds and her symptoms resolved following a course of corticosteroids.

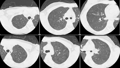
Her CT scan demonstrated diffuse, poorly defined centrilobular nodular areas of ground glass opacification. (Click CT to magnify)





