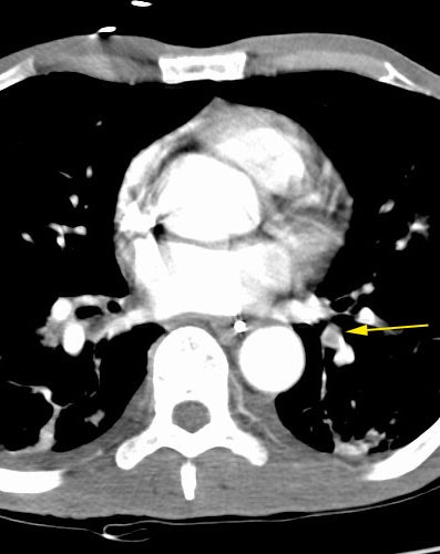
Mucous plug mimicks PE
The examination demonstrated an apparent pulmonary embolism to the left lower lobe (yellow arrow). However, when the images are viewed in a cine format, the abnormality can be seen to clearly represent a mucous filled bronchus. Cine display of the images is crucial to proper CT PE exam interpretation.
Click image to view cine (1 MB)







