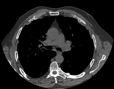
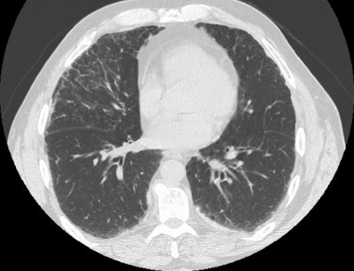
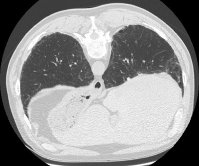
Asbestosis:
Patient with a history of asbestos exposure
(Click images to enlarge)
The high resolution CT scan demonstrates pleural plaques- some of which contain foci of calcification.

Lung windows demonstrate inter and intralobular septal thickening and there is a curvilinear subpleural line seen in the lateral aspect of the right middle lobe.






