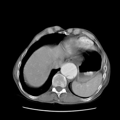
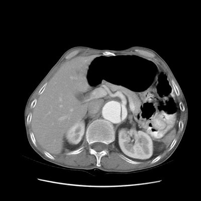
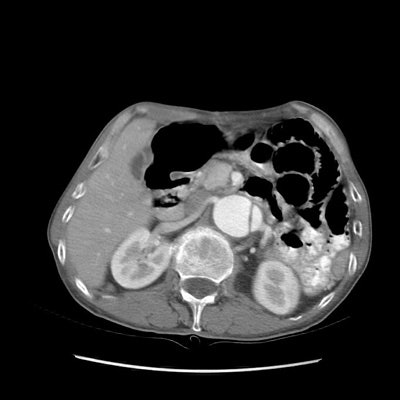
Type B dissection on CT:
The images below demonstrate a Type B aortic dissection beginning at the level of the thoracic outlet (note also aortic aneurysm). Both the superior mesenteric artery and the left renal artery arise from the false lumen. (Click images to enlarge)










