
Being able to identify plaque that is headed for rupture would be the ultimate achievement for multislice CT angiography, but MSCTA is already providing a useful noninvasive look at previously ruptured plaque, according to a new study.
At the 2005 American College of Cardiology meeting in Orlando, FL, researchers from the Minneapolis Heart Institute reported finding evidence of earlier rupture on 4% of the 16-slice CTA scans from a series of 176 consecutive ambulatory patients.
Plaque rupture is the most frequent cause of acute coronary syndromes, but detecting its occurrence is a challenge even with invasive imaging methods such as intravascular ultrasound (IVUS) and conventional angiography.
The Minneapolis group was inspired to look for the noninvasive evidence of rupture after noting that several patients who were found to have ruptured plaque on conventional angiography had extraluminal contrast present on their MSCTA images.
The researchers reviewed a series of scans for lesions containing contrast that had penetrated into the coronary artery wall and that were surrounded by plaque, according to the abstract for their poster presentation. Extraluminal densities appeared on 22% (39/176) of the contrast-enhanced scans.
Of those 39 patients, 30 had a noncontrast scan available that could be used to review for calcium at the identical segment.
"When we saw this outside of the lumen, it had to either be contrast from the lumen or calcium in the vessel wall," noted Dr. Jamie Pelzel, a cardiology fellow at the University of Minnesota in Minneapolis and lead author of the presentation.
Fourteen of the 30 patients had calcium that explained the density; another nine cases were equivocal. But 4% (7/176) of the study patients showed no calcium on the unenhanced scan, which led the researchers, by process of elimination, to a diagnosis of plaque rupture.
Four of the seven also had angiograms that confirmed their ruptures. Yet the finding of a rupture was quite surprising in several of the patients: two had no symptoms of rupture, two had atypical symptoms, and one had a calcium score of zero.
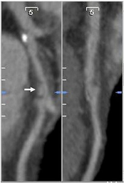
![]() |
| Coronary CTA images (above) show extraluminal contrast in communication with the coronary lumen, consistent with a ruptured coronary plaque. An invasive angiogram (below) from the same patient showed extraluminal contrast (arrow) representing a ruptured plaque associated with a severe stenosis in the left anterior descending artery. Images courtesy of Dr. John Lesser and Dr. Jamie Pelzel. |
![]() |
"Probably the best situation for this test would be in somebody who's got atypical symptoms, or who's at low risk and you don't think they need any angiogram, but either their stress test is equivocal or their symptoms aren't typical " Pelzel said.
That MSCTA may now identify another explanation for otherwise inexplicable chest pain in some percentage of patients could be quite significant, according to Dr. Robert Schwartz, senior author on the presentation and medical director of the Minnesota Heart Institute.
"If these patients have in fact ruptured a plaque, that would be key," Schwartz said. "It may indicate active disease; it may indicate vulnerable plaque; it may indicate that those patients are at risk for future events."
The Minnesota researchers believe they are the first to formally present images of plaque rupture on MSCTA. "I don't know if other people are finding it and haven't reported it, or maybe the awareness just needs to be raised that this is what it looks like," Pelzel said.
But now, he suggested, "you should be looking at this on your patients' scans."
By Tracie L. Thompson
AuntMinnie.com staff writer
June 14, 2005
Related Reading
Scores of detector rows bring opportunities, challenges to CT imaging, April 8, 2005
SPECT/CT developing role in coronary artery disease assessment, March 22, 2005
MDCT finds predictive value in soft plaque, September 24, 2003
Experimental beta probe locates rupture-prone plaque, June 17, 2002
Copyright © 2005 AuntMinnie.com






















