
The prevalence of black lung disease has risen sharply among coal miners in the U.S., according to researchers who analyzed almost 50 years of radiographs. The trend reverses years of progress in reducing the prevalence of the disease, they note in a study published in the American Journal of Public Health.
The study found that 11% of U.S. workers who have spent more than 25 years in the mines have signs of black lung disease, also known as coal workers' pneumoconiosis (CWP), with prevalence higher than 20% in the central Appalachia region. That compares to a low of less than 5% nationally in the late 1990s, when efforts to control the disease had brought sharp reduction in black lung cases (AJPH, July 19, 2018).
The increase portends a sharp rise in severe cases of lung disease in the near future, warned a team consisting of David Blackley, DrPH; Cara Halldin, PhD; and A. Scott Laney, PhD, from the U.S. National Institute for Occupational Safety and Health (NIOSH) in Morgantown, WV.
Black is back
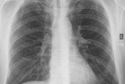
Black lung disease has long plagued coal workers who spend many years in the mines. In its most severe form -- progressive massive fibrosis (PMF) -- it leads to the formation of large masses of fibroses that clog the lungs. PMF is severely debilitating and often fatal.
Black lung became such a scourge that in 1969 the U.S. government established the Federal Coal Mine Health and Safety Act, which gave NIOSH the authority to run a screening program to detect early signs of black lung in miners. The program offered chest x-ray screenings to coal workers, with images read by NIOSH-certified physicians, informally called B readers. Miners found to have black lung became eligible to receive disability benefits paid for by their employer.
The program was remarkably successful in reducing prevalence of black lung: Rates of the disease fell from over 30% in the mid-1970s to 5% by the late 1990s, according to Blackley and colleagues. The incidence of progressive massive fibrosis also fell among long-term miners, from 3.5% in the mid-1970s to 0.5% in the late 1990s.
But this trend began reversing itself in 2000, the researchers wrote. The prevalence of coal workers' pneumoconiosis among long-term miners began rising again, especially in the central Appalachian states of Kentucky, Virginia, and West Virginia. What's more, by 2015 the prevalence of progressive massive fibrosis had risen to 5% -- the highest level ever recorded.
To analyze the trend in more detail, the NIOSH researchers looked at the prevalence of coal workers' pneumoconiosis on radiographs acquired of workers in underground mines from 1970 to 2017 that were collected as part of the screening program. Coal workers' pneumoconiosis was defined as the presence of small opacities with profusion category of 1/0 or greater on the International Labour Office Classification of Radiographs of Pneumoconioses scale. Progressive massive fibrosis was defined as any large opacity greater than 1 cm.
Prevalence rates were reported as five-year moving averages, to match the five-year screening intervals in the federal program. The data found that the prevalence of black lung bottomed out in 1999-2000 at less than 5% for the U.S. and then began rising thereafter.
| Prevalence of black lung in miners with 25+ years of exposure | ||
| Year | Central Appalachia |
U.S. |
| 1974 | 34% | 32.5% |
| 1980 | 31.1% | 25.9% |
| 1985 | 23% | 19.6% |
| 1990 | 29.4% | 20.6% |
| 1995 | 11% | 8.4% |
| 2000 | 7.8% | 4.9% |
| 2005 | 14% | 7.5% |
| 2010 | 10.9% | 7.1% |
| 2015 | 17.4% | 10.7% |
| 2017 | 20.6% | 11% |
What's more, the study found that prevalence rates in central Appalachia went from just slightly higher than the rest of the U.S. in 1974 to almost double in 2017; levels of coal workers' pneumoconiosis in central Appalachia are at the highest rate in 25 years, the authors noted.
"Much of the increased prevalence observed in the national data is attributable to CWP identified in miners in central Appalachia," they wrote. "Approximately 1 in 20 long-tenured miners in central Appalachia has CWP that has progressed to PMF, a condition that is by definition totally disabling. We can think of no other industry or workplace in the United States in which this would be considered acceptable."
Political football
The AJPH study comes as black lung has turned into a political football pitting coal mining companies against miners' unions -- with state and federal governments joining in as well.
For example, the Kentucky Legislature recently passed a law that barred radiologists from participating in the B-reader program, instead giving pulmonologists exclusive rights to lung screening interpretations. The law was widely seen as an attempt to have screenings interpreted by physicians who were more friendly to coal companies.
And in West Virginia, a miners' union has proposed setting up a state-run black lung screening program as an alternative to the NIOSH-run program. The union believes a state-run program would use money more efficiently and be friendlier to claims from miners than the federal program.
Finally, the Trump administration in December 2017 opened a review of rules implemented in 2014 by the Obama administration that lowered the allowable level of coal dust that miners could be exposed to on the job. The government's Mine Safety and Health Administration is examining whether those rules should be modified and whether the rule on dust exposure is actually protecting miners' health.
Indeed, Blackley and colleagues referenced the proposal in their paper, stating their belief that the data from their study support the more stringent workplace rules to protect miners from coal workers' pneumoconiosis.
"Although it is too early to assess the health impact of [the 2014 rules], we are not aware of any evidence of a decline in CWP, severe CWP, federal or state disability compensation claims, or lung transplantation for CWP among miners in Appalachia," they concluded. "Enhancement and diligent enforcement of the 2014 standards remains critical for reversing these trends."



















