
SALT LAKE CITY - Major developments in the detection and treatment of life-threatening diseases such as Alzheimer's disease, prostate cancer, and non-Hodgkin's lymphoma were among the prime scientific papers on display at the SNM annual meeting on Monday.
As in previous meetings, past SNM president Peter Conti, MD, highlighted the more notable scientific papers at the organization's annual news conference.
![]() |
| PiB PET scan shows brain areas containing beta amyloid plaques (yellow and red) in a living person with Alzheimer's. All images courtesy of SNM. |
The two-year Australian Imaging, Biomarkers, and Lifestyle (AIBL) study enrolled 200 patients, which included 34 people with confirmed Alzheimer's and 57 subjects with mild cognitive impairment.
All patients were imaged using PET with carbon-11-labeled Pittsburgh Compound B (C-11 PiB), a PET imaging agent that binds to beta amyloid in neural tissues. The agent can be used to evaluate changes in beta amyloid, which has been linked with the onset of Alzheimer's.
Study results showed that beta amyloid plaque builds slowly over time, and extensive build-up of the protein preceded cognitive impairment and was associated with 13 times the level of risk of progressing to Alzheimer's disease within 20 months. Researchers also found that development of the disease could begin as early as 10 years before signs of dementia.
The authors believe that PET imaging of amyloid build-up in the brain will improve the accuracy of diagnosing Alzheimer's disease and allow physicians to diagnose and foster early treatment.
Molecular imaging and prostate cancer
Another research study being presented at the SNM conference this week involves a new molecular imaging agent that could improve the diagnosis of recurrent prostate cancer and determine the best possible course of treatment for patients.
The agent, developed by Mark Goodman, MD, at Emory University in Atlanta, consists of a fluorine-based radioisotope paired with a synthetic amino-acid analog similar to the naturally occurring amino acid L-leucine (anti-F-18 FACBC).
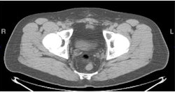
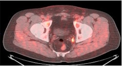
![]() |
![]() |
| PET/CT with anti-F-18 FACBC (below) shows left obturator lymph node better than CT (top) and PET (above) images alone. |
![]() |
Not only was the agent shown to be highly accurate in differentiating recurrent tumors in the prostate from metastatic cancer, but researchers believe the agent could help change patient treatment and improve the prognosis for prostate cancer patients.
Effective 'microbead' radiotherapy
Meanwhile, researchers at the Cleveland Clinic in Ohio are developing a technique called radiomicrosphere therapy, which involves the injection of tiny highly radioactive beads that attach to and destroy cancerous tumors.
Radiomicrosphere therapy uses radiomicrobeads labeled with yttrium-90 to irradiate cancer and spare healthy tissue, and it employs SPECT/CT to determine the likely path of the cancer-killing microbeads.
In the study, 99 patients underwent conventional planar imaging with gamma camera technology followed by imaging with SPECT/CT prior to therapy. Only nine patients out of the 99 showed potential for bleeding of the radioactive particles into other areas of the body, leading to the destruction of healthy tissues.
The use of SPECT/CT alone indicated that 23 patients, more than double that of more conventional imaging, showed potential for complications.
With the help of radiomicrosphere therapy, clinicians may be able to determine which patients are good candidates for therapy, and the detection of possible bleeding can alter a treatment plan and prevent unnecessary complications.
'Scout scans' for non-Hodgkin's lymphoma
In another study, Dutch researchers used the combination of PET and zirconium-89 (Zr-89) Zevalin to evaluate and optimize non-Hodgkin's lymphoma therapy with Zevalin, a radioimmunotherapy drug that uses a dose of radioactive material and mimics the body's immune response to target and kill cancer cells, while sparing nearby healthy tissues.
Zr-89 Zevalin was tested as the imaging agent for so-called "scout scans" -- initial PET scans used for treatment planning prior to therapy -- for six patients with relapsed B-cell non-Hodgkin's lymphoma scheduled for stem-cell transplant.
Participants received PET scans after an injection of the imaging agent and again after receiving radioimmunotherapy. The imaging agent provided an accurate look at the likely path of a therapeutic dose of Zr-89 Zevalin in the body, without any negative impact from simultaneous injection.
The study, led by Nafees Rizvi, MD, at VU University Medical Center in Amsterdam, concluded that Zr-89 Zevalin and PET could be more effective than other imaging techniques.
'Quantum dot' nano-imaging
Studies by American and Chinese researchers unveiled nuclear medicine and optical imaging techniques to capture radiation luminescence and radioactive-excited nanoparticles, which can help detect subtle signs of disease.
Radiation luminescence is captured by highly sensitive optical cameras with the help of fluorescent nanoparticles called quantum dots. The studies evaluated the viability of the technique using nuclear medicine agents that target tumors.
Specifically, researchers tested commonly employed molecular imaging agents, such as fluorine-based FDG, iodine-131 sodium iodide, yttrium-90 Cl3, and an yttrium-90-labeled peptide, to detect biological processes within the body.
Researchers focused on a low-energy window of light from the visible and near-infrared band of the electromagnetic spectrum. While the bands are not visible to the human eye, they can be detected with advanced optical cameras that detect light energy from charged particles of radioactive sources.
In his presentation, Conti said further development of radioactive optical and nanoimaging techniques "could have a significant impact on molecular imaging and nanotechnology research and provide new strategies for earlier detection of a wide range of disease."
By Wayne Forrest
AuntMinnie.com staff writer
June 8, 2010
Related Reading
SNM meeting opens with call for effectiveness research, June 7, 2010
SNM convenes annual meeting as challenges persist, June 3, 2010
SNM applauds SGR delay, April 19, 2010
FDA, SNM, RSNA host workshop, April 2, 2010
SNM summit advances molecular imaging, February 2, 2010
Copyright © 2010 AuntMinnie.com
























