
The pharmacological stress agent regadenoson with rubidium-82 (Rb-82) PET myocardial perfusion imaging (MPI) has high sensitivity and diagnostic accuracy for detecting obstructive coronary artery disease (CAD), according to a study published online August 12 in the Journal of Nuclear Medicine.
Researchers from Brigham and Women's Hospital found that regadenoson stress and Rb-82 PET MPI achieved sensitivity of 92% for the detection of obstructive CAD and maintained the high diagnostic sensitivity regardless of a patient's age, gender, or body mass index.
Regadenoson, an adenosine receptor agonist, was cleared by the U.S. Food and Drug Administration (FDA) in 2008 for use in MPI for patients unable to participate in an exercise stress test. It is marketed under the brand name Lexiscan by Astellas.
Regadenoson benefits
"The use of regadenoson as an intravenous bolus makes it particularly well-suited for stress imaging inside a scanner gantry, as with MR imaging and PET," wrote lead author Dr. Edward Hsiao and colleagues. In addition, Rb-82 PET MPI is commonly used for patients with known or suspected coronary artery disease to assess the extent of their condition (JNM, August 12, 2013).
"However, the diagnostic accuracy of regadenoson stress with Rb-82 PET MPI has not been reported," the authors added.
The current study included 134 patients with a mean age of 63 (± 12) years with no known CAD. Participants were referred for PET MPI for suspected CAD due to chest pain or other symptoms, as well as multiple coronary risk factors.
Study subjects underwent regadenoson Rb-82 PET MPI between December 2008 and July 2010 using a whole-body PET/CT scanner (Discovery LightSpeed VCT 64, GE Healthcare). The cohort consisted of 96 consecutive stable patients who also underwent invasive coronary angiography within six months after the PET/CT study and 38 patients with a low pretest likelihood of CAD who did not undergo coronary angiography.
Regadenoson, on average, increased a patient's heart rate by 20 (± 12) beats per minute and decreased systolic blood pressure by 9 (± 20) mm Hg, Hsiao and colleagues found. The median duration between the regadenoson PET study and invasive coronary angiography was three days (range, zero to 123 days).
PET MPI results
Overall, of 96 patients who underwent invasive coronary angiography, 22 (23%) had a normal regadenoson PET MPI result, while 74 (77%) had an abnormal result. Four (4%) of the 96 patients had fixed defects, compared with 15 (16%) who had mild reversible defects and 55 (57%) who had moderate to severe reversible defects.
Regadenoson Rb-82 PET MPI identified obstructive CAD in 59 of the 64 patients who had evidence of significant stenosis on invasive angiography, for a sensitivity of 92%. Significant stenosis was defined as at least 50% stenosis in the left main coronary artery or at least 70% stenosis in other coronary arteries, Hsiao and colleagues noted. PET MPI also achieved a sensitivity of 89% (23 of 26 patients) for single-vessel CAD and 91% (32 of 35 patients) for multivessel disease.
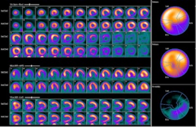
','dvPres', 'clsTopBtn', 'true' );" >

Click image to enlarge.
Rest and regadenoson stress Rb-82 PET MP images show large region of severe reversible perfusion defect in entire inferior and inferolateral walls and basal inferoseptal region. Image courtesy of JNM.
Most interestingly, sensitivity was similar in men (95%) and women (88%), as well as in obese (94%) and nonobese (85%) individuals. In addition, when the researchers used a threshold of at least 50% stenosis in any coronary artery for significant stenosis, the sensitivity for the diagnosis of obstructive CAD was 90%.
Regadenoson PET MPI also correctly identified the absence of CAD in 37 (97%) of the 38 patients with a low likelihood of disease and in 17 (53%) of the 32 patients with no obstructive CAD.
"Importantly, high diagnostic sensitivity was maintained irrespective of age, sex, and body mass index," Hsiao and colleagues wrote. "Also, the sensitivity for the detection of obstructive CAD in patients with single-vessel CAD and in patients with underlying multivessel CAD was equally high."
The authors noted that to the best of their knowledge, this study is the first to confirm the diagnostic accuracy of regadenoson stress with PET MPI for the detection of obstructive CAD.
"Clinical diagnostic accuracy studies are paramount for supporting the continued use (or not) of regadenoson in clinical PET practice," they added. "Future studies on larger patient cohorts are needed to confirm these findings."




















