
The benefits of PET/MRI may be expanding to esophageal cancer, according to a study published online May 27 in the Journal of Nuclear Medicine. Korean researchers found that the hybrid modality matched endoscopic ultrasound (EUS) for staging tumors.
PET/MRI particularly shined for nodal staging, the group concluded. Although the study sample was small, PET/MRI was comparable to EUS for tumor staging and more accurate than both EUS and PET/CT for lymph nodes.
"Therefore, our results suggest that with protocol adjustments, PET/MRI may be used clinically for the preoperative staging of esophageal cancer in the future," concluded lead author Dr. Geewon Lee and colleagues from Pusan National University Hospital in Busan (JNM, May 27, 2014).
Current guidelines for esophageal cancer staging, which is critical for treatment decisions, include abdominal and chest CT, EUS, and PET/CT, the authors noted. However, these options come with certain limitations, which could be addressed by the newer hybrid modality.
"PET/MR imaging is a rapidly evolving modality whose full potential has yet to be discovered and whose diagnostic utility in esophageal cancer has yet to be addressed in the literature," Lee and colleagues wrote.
The group set out to compare the diagnostic capabilities of PET/MRI, EUS, CT, and PET/CT for preoperative staging of local and regional esophageal cancer, with postoperative pathologic results as the reference standard.

Study cohort
From January 2012 to August 2013, 15 men (mean age, 68.1 years) with newly diagnosed esophageal cancer were prospectively enrolled in the study. Most tumors were in the middle esophagus (eight tumors) or lower esophagus (four tumors).
Chest scans were performed using a 64-detector-row CT scanner (Discovery CT750 HD, GE Healthcare), while FDG-PET/CT imaging was conducted on a combined PET/CT system (Gemini, Philips Healthcare) with a full-ring PET scanner and dual-slice helical CT.
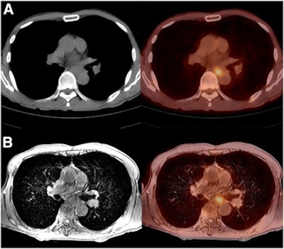
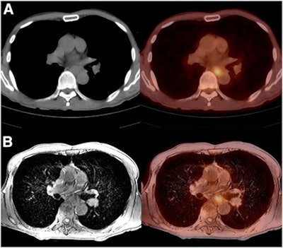
FDG-PET/MR images were acquired on a sequential-acquisition PET/MRI system (Ingenuity TF, Philips), which combines a time-of-flight PET scanner and 3-tesla MRI. EUS exams were done with a radial echoendoscope (GF-UM-2000 or UM-DP20-25R, Olympus). All patients allowed passage of the echoendoscope through the esophagus, stomach, and duodenum.
Two chest radiologists and two nuclear medicine physicians retrospectively reviewed the images and assigned tumor and lymph-node stages in consensus. PET/CT scans were excluded from the tumor-staging analysis, but all four modalities were utilized for nodal staging.
Tumor staging
Among the 15 patients, pathologic results confirmed T1 cancer in nine individuals, T2 cancer in two, and T3 cancer in four, according to the authors.
EUS staged the most primary tumors correctly (13, 87%), followed by PET/MRI (10, 67%) and CT (five, 33%). The different in accuracy between EUS and CT reached statistical significance, while the difference between PET/MRI and CT nearly reached significance. The difference between EUS and PET/MRI, however, did not.
Accuracy for esophageal cancer | |||
Modality | T1 lesions | T2 lesions | T3 lesions |
EUS | 87% | 87% | 93% |
PET/MRI | 80% | 73% | 87% |
CT | 47% | 53% | 87% |
EUS' tumor-staging prowess in the study reflects its current status as the modality of choice, according to the authors. EUS maintained high accuracy for all tumor stages, whereas CT and PET/MRI tended to be more accurate for higher-stage than lower-stage lesions.
Lymph-node staging
In the node-staging analysis, three patients were excluded because pathologic reference standards were not available for some suggestive lymph nodes.
Among the remaining 12 subjects, seven were stage N0 and five were stage N1. PET/MRI correctly staged nodal metastasis in 10 cases (83%), compared with nine (75%) for EUS, eight (67%) with PET/CT, and six (50%) with CT.
"PET/MR imaging provides both anatomic visualization and quantitative measurement of physiologic processes of the malignancy," the authors wrote. "Thus, we believe that the advantages of PET/MR imaging yielded favorable outcomes for [node] staging compared with other modalities."
The study was unique in that it compared four modalities' performance, according to Lee and colleagues. Also, they believe it's the first to examine PET/MRI for esophageal cancer; only a few studies have evaluated the role of conventional MRI, which is generally not part of the standard imaging protocol.
"We hope that our initial experience may provide some baseline data to be validated in future studies," they added.
The authors cited several study limitations, including the small patient cohort, which included only male patients with squamous cell carcinoma. In addition, the PET/MR images came from a system that does not acquire data simultaneously, so there is the chance of misregistration due to patient motion and breathing, they wrote.
"In the current study, PET/MR imaging demonstrated [tumor]-staging accuracy comparable to that of EUS, and although not statistically significant, even higher accuracy than EUS and PET/CT for prediction of [node] staging," Lee and colleagues concluded.