
ST. LOUIS - Researchers from Boston Children's Hospital have found that certain PET and MR imaging characteristics of brain tumors in pediatric patients may help predict progression-free and overall survival, according to a study presented on Tuesday at the Society of Nuclear Medicine and Molecular Imaging (SNMMI) meeting.
For example, in newly diagnosed brainstem glioma cases, high correlation of FDG uptake and MRI enhancement suggested reduced overall survival, likely due to a more aggressive form of the disease. In patients with brainstem glioma that wasn't newly diagnosed, low correlation of FDG uptake and MRI enhancement suggested shorter progression-free survival.
Study co-author Frederic Fahey, DSc, director of physics in nuclear medicine and molecular imaging at Boston Children's Hospital.
The retrospective study used data from the Pediatric Brain Tumor Consortium (PBTC), which was created in 1999 by the U.S. National Cancer Institute to improve the treatment of primary brain tumors in children. Through the PBTC, baseline PET and MR images from phase I and II clinical trials from August 2000 through June 2010 are available for 203 pediatric patients from the consortium's 11 member facilities.
Among the children in the PBTC, 66 were newly diagnosed with brainstem glioma, glioblastoma multiforme, or anaplastic astrocytoma. The remaining 137 children had been treated for brainstem glioma, glioblastoma multiforme, anaplastic astrocytoma, medulloblastoma, or ependymoma, among other illnesses.
Boston Children's Hospital has been involved in the PBTC since its inception. The hospital's Neuroimaging Center joined the consortium in 2003.
Study co-author Frederic Fahey, DSc, director of physics in nuclear medicine and molecular imaging, said the PBTC may be the largest collection of pediatric brain tumor subjects analyzed to date.
Study co-author Dr. Tina Young Poussaint, director of the Neuroimaging Center at Boston Children's Hospital.
"Fortunately, brain tumors in kids are reasonably rare," he said. "We thought this was a unique opportunity across all the studies in the consortium to pool all those baseline studies over the last decade to see what kind of trends we could see across tumor type, if there were any indications on how initial PET scans looked, and if we could help figure out whether patients would respond or not respond to subsequent therapy."
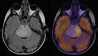
MRI scans were performed within two weeks of PET imaging and prior to therapy in all cases. PET results were then coregistered with MR images.
"PET is really quite good in terms of giving us functional and physiological information about the tumor, and the standard MRI for coregistering gives us the structural and anatomic configuration of the tumor," added study co-author Dr. Tina Young Poussaint, director of the Neuroimaging Center. "So we looked with MRI within the confines of the tumor and we looked to see where the metabolic activity was within each tumor type."
Perhaps unsurprisingly, the researchers found that FDG uptake and MRI enhancement varied by tumor type. On average, glioblastoma multiforme and medulloblastoma had uniform, intense FDG uptake throughout the tumor. Meanwhile, brainstem glioma had low levels of FDG uptake in less than 50% of the tumor. Ependymoma also had low-level FDG uptake throughout the tumor.
In newly diagnosed brainstem glioma cases, high correlation of FDG uptake and MRI enhancement suggested reduced overall survival, likely due to more aggressive disease. FDG uptake in more than 50% of the tumor in this group suggested lower progression-free survival.
In patients with brainstem glioma that was not newly diagnosed, low correlation of FDG uptake and MRI enhancement suggested reduced progression-free survival.

"We will unfortunately see subsequent patients who have these tumor types," Poussaint said. "Trying to characterize which ones have higher [FDG] uptake and correlate that with survival at baseline may be helpful in evaluating how well these patients might be doing."
Tumor heterogeneity
Fahey said one interesting finding from the study was the degree of heterogeneity across the tumors. Even within one tumor type, part of the tumor may be more metabolically active than other parts.
"We try to characterize both the magnitude of the [FDG] uptake and the pattern of uniformity to determine which part of the tumor, as seen on MRI, actually did take up the FDG," Fahey said. "Sometimes not all of [the tumor took up FDG], which seems to be indicative of how the patient would do."
If, for example, a patient has very high FDG uptake, this information could be useful in conjunction with a tumor's structural characteristics. "It would help let the clinician know that this might be a more aggressive tumor and may tailor the therapy," Poussaint added.
The researchers plan to continue their work with FDG and also to advance to F-18 fluorothymidine (FLT) PET imaging.
"One of the challenges is that FDG naturally goes to the brain," Fahey said. "Sometimes we are trying to discern small changes where the tumor is, but it is surrounded by normal brain, which is taking up FDG. FLT does not tend to go to normal brain tissue," which may allow better characterization of the tumor.