
A three-month follow-up PET/CT scan is very helpful for detecting the recurrence of oropharyngeal cancer and predicting the overall survival of patients treated with radiation therapy, according to a study presented at the recent American Society for Radiation Oncology (ASTRO) Multidisciplinary Head and Neck Cancer Symposium in Scottsdale, AZ.
Researchers from H. Lee Moffitt Cancer Center in Tampa, FL, found that the combination of imaging and a physical exam three months after radiation treatment identified 92% of cancer recurrences at the original site of the tumor. It also detected tumor spread, as well as 71% of distant cancer growth. The early three-month evaluation also contributed to a three-year overall patient survival rate of 91%.
Lead author Dr. Jessica Frakes, an assistant member in Moffitt's department of radiation oncology, said three months is the optimum time to evaluate the results of radiation therapy, based on previous research that shows PET can be most sensitive and specific for cancer detection at that time.
"When that PET scan is negative [at three months], the chance of recurrence is significantly less and overall survival is improved," Frakes told AuntMinnie.com. "By that time, inflammation from the radiation treatment has gone away, so you are not getting false positives, and it also allows time for tumors to have complete response [to treatment]."
Treatment assessment
The number of oropharyngeal squamous cell carcinoma cases associated with human papillomavirus (HPV) infection, especially among young men, has climbed dramatically in the past several decades, according to the American Cancer Society. Thus, there is a considerable need to determine the efficacy of radiation treatment, which affects survival rates.

In this study, Frakes and colleagues analyzed 246 cases of HPV- or p16-positive nonmetastatic oropharyngeal cancer treated with radiation therapy at their facility between 2006 and 2014. The vast majority of patients (209, 85%) received radiation therapy and a concurrent systemic therapy, while the remainder (38, 15%) received only radiation therapy.
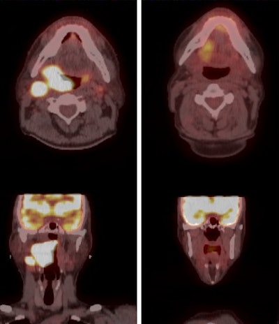
The same patients also received a PET/CT scan three months after treatment, as well as physical exams every three months in the first year of therapy. The physical exam was done every four months in the second year of treatment, and then every six months in the third, fourth, and fifth years.
The researchers then evaluated patient outcomes based on recurrence and survival rates from the end of radiation therapy, taking into consideration how well treatment controlled oropharyngeal cancer at the source (local control), whether it spread to nearby regions (regional and locoregional control), and the presence of distant metastases.
3-month benefits
The median follow-up of all patients was 36 months. At that time, local control was achieved in 239 of 245 patients, for a three-year local control rate of 98%. Of the six patients whose cancer spread, all of the cases were detected visually or through laryngoscopy.
The three-year regional control rate was 95%. Among nine patients with regional recurrences, eight (89%) were discovered through the three-month post-treatment PET/CT or from symptoms. Patients with five nodes or level 4 lymph nodes were more likely to have regional failure (p < 0.05).
The three-year locoregional control rate was 94%. Of the 13 individuals who developed locoregional cancer, 12 (92%) presented with symptoms or persistent disease on follow-up PET/CT. The three-year rate of freedom from distant metastases was 91%, with an increased risk of metastases in patients with a lymph node larger than 6 cm, bilateral lymphadenopathy, five or more nodes, or a lymph node present in level 4 (p < 0.05).
Of the 21 patients who had distant cancer recurrence, symptoms or three-month post-treatment imaging were credited with finding 15 (71%) of those cases.

Most importantly, the three-year overall survival rate was 91%. There were 19 cases of grade 3 toxicities, and two patients had grade 4 toxicities.
"When we have an overall survival of 91% and very low permanent toxicity, that drives home the point that it is very important for patients to be treated by specialists who focus on head and neck cancer and by a multidisciplinary team of radiologists, surgeons, and radiation and medical oncologists, as well as dieticians and other related specialists," Frakes said.
The researchers concluded that if a three-month, post-treatment PET/CT scan is negative, no additional imaging is needed unless other symptoms arise.
"We feel confident in telling patients that if the three-month PET is negative, we are very comfortable with just a physical examination, but obviously not ignoring any symptoms," Frakes said. "[This] tells us a lot about the patient's prognosis and makes us comfortable about not ordering routine imaging on [certain] patents."
Frakes believes that the three-month follow-up strategy also could improve patient satisfaction and quality of life.
Patients "will not have that emotional stress of waiting for a test result or knowing that after three months or six months, they have to go back for more imaging," she said. "I think that emotional stress may decrease, as well as the financial burden to the patient to pay for the scan or take time off of work."