
Mammography proved to be 97% effective in detecting ipsilateral breast tumor recurrence in women who had undergone breast-conserving surgery with radiation therapy for ductal carcinoma in situ (DCIS), according to a recent study that investigated the mammographic features, detection method, and stage of recurrence.
The modality not only detected a high percentage of these recurrent cancers in the women in the study, but 91% of the recurrent cancers it found were early stage, 0 or I, wrote Dr. Renee Pinsky in the July issue of American Journal of Roentgenology (Vol. 189:1, pp. 140-144).
Pinsky is from the University of Michigan Health System in Ann Arbor. Her co-authors are from William Beaumont Hospital in Royal Oak, MI; Henry Ford Hospital in West Bloomfield, MI; and Sheba Medical Center in Ramat-Gan, Israel.
Pinsky and colleagues reviewed records of women who had been patients at a large academic comprehensive cancer center and a large private teaching hospital between 1981 and 2003. They found 513 women had been treated with breast-conserving surgery (lumpectomy) and radiation therapy for DCIS, 42 of whom developed local recurrence for a rate of 8.2%.
Of these 42 women, 32 had complete records available, and these 32 women became the study sample. Twenty-eight of these 32 had original mammogram films accessible for review. The mean age at initial diagnosis was 49.
Of the 32 women included in the study, mammography found that 24 had calcifications, six had masses, and one had distortion. All cancer recurrences happened after one year from the original date of diagnosis; the mean time of recurrence was 4.5 years.
The recurrences were DCIS in 17 of the women, DCIS with microinvasion in six, invasive ductal cancer in three, invasive lobular cancer in two, and mixed DCIS and invasive cancer in four. Most of the women who presented with microcalcifications in the original DCIS had recurrences with calcifications, according to the authors. Sixty percent of the recurrences were found in the same original quadrant, while 40% were found elsewhere in the breast.
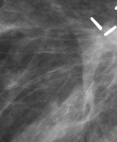
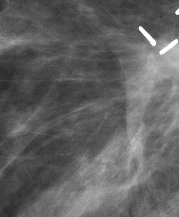
![]() |
| A 50-year-old breast cancer patient with recurrence presenting as microcalcifications three years after treatment. Magnification of mediolateral oblique view of lumpectomy site shows clips and scar. Note new pleomorphic microcalcifications nearby. These microcalcifications were ductal carcinoma in situ with microinvasion located 2 cm from lumpectomy site. Pinsky RW, Rebner M, Pierce LJ, Ben-David MA, Vicini F, Hunt KA, Helvie MA, "Recurrent Cancer After Breast-Conserving Surgery with Radiation Therapy for Ductal Carcinoma in Situ: Mammographic Features, Method of Detection, and Stage of Recurrence" (AJR 2007; 189:140-144). |
Other randomized, controlled trials have shown that lumpectomy and radiation therapy are equivalent to mastectomy for survival of invasive breast cancer, but DCIS is less well studied. Mastectomy for DCIS has been linked with long-term, regional disease-free survival of 95% or greater, although 1% to 4% of patients will eventually develop chest wall recurrences that are usually invasive carcinomas and found once they are palpable.
Breast-conserving surgery with whole-breast radiation therapy has proved to be comparably effective to mastectomy, but women who choose this treatment do face the chance of a local regional recurrence rate of 1% per year.
Pinsky and colleagues acknowledged that their study had limitations: Since all patients had whole-breast radiation therapy, the results may not apply to those who were treated with lumpectomy alone or partial-breast radiation; none of the women had MRI or whole-breast sonography to find other primary or residual disease; using mammography reports when films weren't available may have introduced some error; and in some cases the mammographic size of a lesion was used, which is not deemed as precise as a pathologic measurement.
But the authors emphasized that the data show that even if the rate of cancer recurrence is higher with lumpectomy and breast radiation than with mastectomy, women treated for DCIS with the breast-conserving protocol can still expect a low rate of recurrent disease.
By Kate Madden Yee
AuntMinnie.com staff writer
July 27, 2007
Related Reading
Residual DCIS after treatment can be considered a pathologic complete response, July 13, 2007
MRI spots high-grade DCIS more often than mammography: study, June 4, 2007
Expanded role looms for 3D in breast imaging, April 11, 2006
Copyright © 2007 AuntMinnie.com





















