
Breast density readings taken at CT are consistent with those acquired at mammography, according to a new study published online in Radiology. The modality could provide a readily available and more uniform option for assessing a woman's breast cancer risk, the researchers concluded.
Density on mammograms has been identified as a risk factor for breast cancer, and many states have adopted legislation that mandates women with dense tissue be notified of their status and informed of supplemental imaging modalities, such as MRI or ultrasound.
However, because not all women get regular mammograms -- and because readers do not always agree when assessing breast density -- researchers at Mount Sinai School of Medicine suggested that CT exams may be an additional way to determine a woman's breast density.
Dr. Mary Salvatore from Mount Sinai Hospital.
"Although many organizations recommend yearly mammographic screening, compliance is far from universal," Dr. Mary Salvatore and colleagues wrote. "On the other hand, many CT examinations are performed each year ... particularly in middle-aged and older people. For the many women who have had CT of the chest and not undergone mammography, we believe that if breast density could be determined reliably on the CT images, it could also provide the same type of valuable information on the person's risk of breast cancer."
Salavatore's group conducted a pilot study comparing radiologists' readings of breast density at CT of the chest with breast density readings from mammography performed in the same patient (Radiology, October 14, 2013).
The study included mammograms and chest CT scans acquired within one year of each other in 206 women, between 2007 and 2011. Two radiologists reviewed the mammograms and CT scans and classified each case into one of the four breast density types defined by BI-RADS.
Salvatore and colleagues measured agreement between the two readers for the mammographic density types and CT density grades using Cohen's weighted kappa (κ) coefficient:
- κ of 0.20-0.40 = fair agreement
- κ of 0.41-0.60 = moderate agreement
- κ of 0.61-0.80 = substantial agreement
- κ of 0.81-1.00 = excellent agreement
Interreader agreement was higher for the CT density grades than for the mammographic density types, at 0.79 versus 0.62. Although both the CT and the mammographic agreement were in the same moderate category, the finding indicates that CT agreement was significantly better than mammographic agreement, according to the authors. Intrareader reliability for breast density grades on the CT images was 0.88.
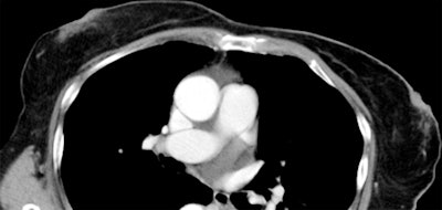
Axial CT images of a 70-year-old woman with grade 1 CT breast density (above) and a 42-year-old woman with grade 4 (below). All images courtesy of Radiology.

Craniocaudal mammograms of the same 70-year-old (left), rated type 1 density, and of the 42-year-old (right), rated type 4.The findings show not only that CT breast density readings were consistent with mammographic readings, but also that there was greater interobserver agreement at CT, the authors wrote. And if knowing a woman's breast tissue density helps optimize strategies for early cancer detection, CT could really help.
"If the opportunity exists for determining breast density at CT, the opportunity should be used within the context of an overall strategy that promotes early diagnosis," they wrote.



















