
An artificial intelligence (AI) system that combines mammography and breast ultrasound data is comparable to radiologists for detecting breast cancer in women with dense breasts, according to a study published January 16 in Insights into Imaging.
A research team led by Dr. Tao Tan from the Netherlands Cancer Institute found that an AI-multimodal system showed comparable sensitivity for identifying breast cancer compared to human readers.
"Multimodal AI systems for detecting breast cancer in women with dense breasts are a potential solution for breast screening in radiologist-scarce regions," Tan and co-authors wrote.
Conventional mammography's efficacy can be limited when it comes to detecting breast cancer in women with dense tissue. Automated 3D breast ultrasound can help with this as a screening supplement, but it adds more burden to labor-intensive clinical workloads, the investigators noted.
It's possible that AI could help by combining the automated 3D ultrasound method with tools that would automatically triage women with dense tissue who are being screened for breast cancer, but Tan and colleagues noted that no studies have investigated this tactic's potential.
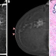
Tan's group sought to compare the detection efficacy of AI systems using mammography data, automated 3D breast ultrasound data, and a combination of both modalities, and compared the performance of the respective systems to that of radiologists. To do so, the team conducted a study that included paired cases of digital mammography and ultrasound exams from a cohort of 430 women with dense breasts; all cases were analyzed by the two AI systems -- one for mammography and one for ultrasound and the multimodal AI system; four radiologists read a subset of 152 cases.
The researchers found that the multimodal AI system yielded a higher specificity and comparable sensitivity to that of single-modality AI systems. The multimodal system had an overall area under the curve (AUC) of 0.865 (with 1 as reference), while the AUCs of AI-mammography and AI-ultrasound were 0.832 and 0.841, respectively.
The team also found that while the multimodal AI system was lower in sensitivity compared to double reading pairs and all four radiologists combined, it was higher or on par with single readers and showed specificity much higher compared to all other reading techniques.
| Comparison of reading techniques for identifying breast cancer in women with dense tissue | |||||||
| Measure | Single-reader mammography (average among 2 readers) | Single reader ultrasound (average among 2 readers) | Double reading mammography | Double reading ultrasound | Double reading multimodality (average among 4 reading pairs) | Panel of 4 readers | Multimodal AI system |
| Sensitivity | 78.5% | 89.8% | 84.1% | 94.2% | 94.5% | 93.2% | 81.1% |
| Specificity | 51.2% | 30% | 39.7% | 15.5% | 20.5% | 32.7% | 95.5% |
While the study results show promise, the efficacy of AI systems and their combination in multi-modal screening settings needs more research, according to Tan and colleagues.
"Clinically relevant endpoints, such as the number of avoided benign biopsies or the improvement in detection sensitivity should be further evaluated," they concluded.



















