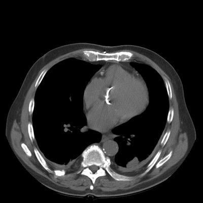
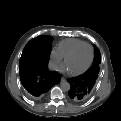
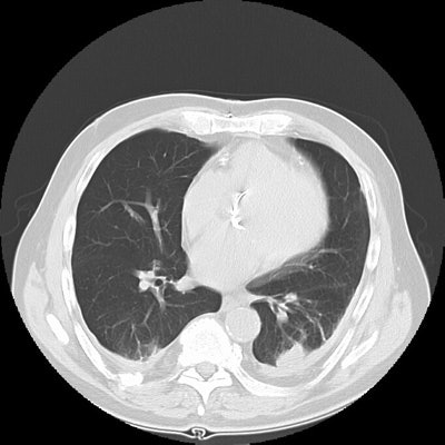
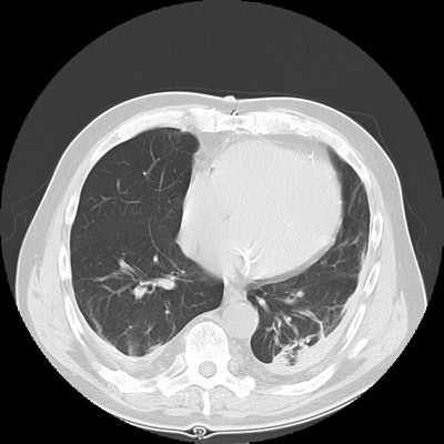
Rounded atelectasis:
The images show bilateral posterior pleural thickening. Within the left posterior lung a rounded pleural based mass-like opacity into which lung markings radiate can be identified. The left major fissure is displaced posteriorly. The lesion has remained stable for many years. The findings are consistent with rounded atelectasis. (Click small images to enlarge)







