Pulmonary emboli in a lymphoma patient with SVC thrombosis
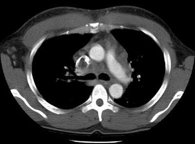
This case nicely demonstrates clot in both the superior vena cava and the left lower lobe segmental pulmonary arteries. There is also a small clot in a left upper lobe segmental vessel.



This case nicely demonstrates clot in both the superior vena cava and the left lower lobe segmental pulmonary arteries. There is also a small clot in a left upper lobe segmental vessel.


