
Legend has it doctors add about 10,000 new words to their vocabulary in the course of medical training, most of which are rarely if ever used outside of medicine. "Atelectasis in both of my front tires this week! What are the odds?" Not something you hear in everyday conversation.
Below is a list of terms that radiologists use to describe chest x-rays. With some of these terms, the description can be used to represent several different underlying disease processes, while with others the description and disease process are one in the same. Many are specific to chest x-ray, but some are used more generally in radiology reports. A brief outline of the underlying physics is included when relevant. Curious cats can check out my previous post about x-rays for a more complete review of the physics.

What are chest x-rays?
Chest x-rays (or radiographs) are one of the most commonly performed imaging studies in all of radiology. Chest pain, shortness of breath, and cough are among the myriad reasons chest x-rays are obtained.
A note before we start: I have divided the terms into two broad categories -- descriptive terms and specific disease conditions. Some terms could arguably be placed in both categories, but the salient information lies in the descriptions. While not exhaustive, the list includes many commonly used terms; in defining these terms, I touch on many normal and pathologic conditions that can occur in the chest.
Descriptive terms
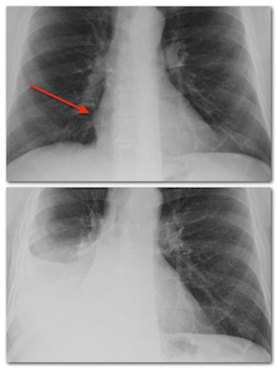
- Silhouette sign: The concept behind this term is among the most important in chest x-rays and is drilled into the head of every radiologist during training. When two structures of different density (e.g., the heart and the lungs) lie next to each other, a visible border forms at the interface. It is normal to see this silhouette, and its absence -- deemed the silhouette sign -- indicates a problem, usually in the lung. For example, a radiologist may describe the border of the heart as being "silhouetted" or "obscured" by an adjacent lung process.

- Density: Often used interchangeably with opacity, density refers to an area on the x-ray that is brighter than expected. When x-rays are absorbed or blocked by something, such as the thick pus and mucous of a pneumonia, this shows up as a brighter spot on the lungs. Density and opacity are very nonspecific terms and can represent a variety of lung pathologies.
- Lucency: Lucency is the exact opposite of density: more x-rays pass through less dense regions, such as air-filled lungs, resulting in darker areas on the image. On chest x-ray, lucency can be abnormal when there is too much of it (e.g., emphysema) or when present in an atypical location (e.g., pneumothorax).
- Consolidation or infiltrate: Before we understand these interchangeable terms, we first need to talk a bit about lung anatomy. As you breathe in, air first enters your trachea (windpipe) and then branches out into progressively smaller airways until it reaches the end: microscopic bubbles called alveoli, where the exchange of oxygen and carbon dioxide occurs. When these alveoli fill up with fluid of some kind, it manifests on a chest x-ray as consolidation. Five main categories of fluid can cause consolidation: blood, water (e.g., pulmonary edema), pus (e.g., pneumonia), cells (e.g., cancer), or protein (certain rare lung conditions). Consolidation shows up in the lungs as a density whose appearance has been compared to fluffy clouds.

- Focal/patchy/diffuse: When describing any process in the lungs, a radiologist needs to communicate where it is happening. These terms don't have any fancy doctor meaning beyond the dictionary definitions, but you will often see them in a radiology report.
- Atelectasis: I would guess atelectasis is the least familiar word on this list due to its lack of use outside of medicine. Atelectasis (from the Greek atelēs ektasis, literally "imperfect extension") simply means collapse. Collapse of the lung occurs under two general conditions: when it is compressed from the outside or when the airway supplying the lung (or part of the lung) is obstructed. Major causes of compression are pleural effusion and pneumothorax. Obstruction can be caused by many conditions, the most serious being lung cancer. Occasionally the entire lung can collapse, but more commonly only part of the lung is involved. Many times partial atelectasis creates flat, thin areas of collapsed lung that radiologists describe as plate-like or band-like (we are sometimes not the most creative in our naming). Depending on its size and configuration, atelectasis can look more similar to either consolidation or scar.
- Fibrosis/scar: Just like your skin, the lungs form scar tissue when injured or otherwise damaged. Fibrosis is synonymous with scarring, and focal scars are a common finding on chest x-rays. Small areas of scarring are often not significant, but large or diffuse scarring can impair lung function. Certain disease processes that cause diffuse fibrosis can result in significant destruction of normal lung tissue, even making a lung transplant necessary. Small focal scars often appear as linear densities on chest x-ray, while diffuse fibrosis results in an interstitial lung pattern.

- Interstitial lung pattern: An interstitial lung pattern refers to subtle thin lines and small dots interspersed throughout the lungs. Sometimes radiologists will use the term "reticular" to mean lines and "reticulonodular" to mean lines and dots together. To understand this appearance, it's time for another lung anatomy lesson. The interstitial tissues are located between the airways and alveoli previously described, and they consist of tissues that help support the lung, including blood vessels. On a normal chest x-ray, the interstitial tissues are too small to see. Only when they are abnormally thickened do they manifest as thin visible lines. Dozens of conditions can result in this appearance, with some common causes including pulmonary edema, pulmonary fibrosis, certain types of pneumonia, and autoimmune and allergic conditions.
Specific disease conditions
You will notice I use the terms above to describe some of the following conditions, and indeed some of these conditions are examples of the more general lung processes noted above:
- Pneumonia: Most of you will have heard this term and know that it means an infection in the lung. The bug that causes the pneumonia -- bacteria, virus, or fungus -- can affect how it appears on a chest x-ray. In its more common manifestation, pneumonia is caused by a bug that forms pus in the airways and alveoli, resulting in consolidation in part of the lung. More rarely, viruses and certain bacteria can preferentially infect the interstitial tissues and result in an interstitial lung pattern; this is called an "atypical pneumonia" or "walking pneumonia."
- Pulmonary edema: Pulmonary edema occurs when too much fluid accumulates in the lungs. Fluid leaks out of the blood vessels, most commonly from a back up of pressure in the vessels secondary to heart failure (cardiogenic pulmonary edema). Various other causes of fluid leakage are usually grouped together as "noncardiogenic" pulmonary edema, i.e., not caused by heart failure. Fluid initially accumulates in the interstitial tissues, resulting in an interstitial lung pattern. As the disease process worsens, fluid spreads into the alveoli and airways, causing consolidation.
- Pulmonary congestion: When radiologists use the term "congestion," they are not referring to the gunky feeling experienced in our heads and chests during a cold. The baby brother of pulmonary edema, pulmonary congestion is increased pressure in the blood vessels of the lung without leakage of fluid, and is caused by heart failure. Sometimes called pulmonary vascular congestion or just congestion, this condition will usually progress to pulmonary edema if not adequately treated. Pulmonary congestion presents on a chest x-ray as enlarged blood vessels, often a subtle and subjective finding.
- COPD: Chronic obstructive pulmonary disease (COPD) is a blanket term with features of chronic bronchitis (inflammation of the airways) and emphysema (destruction of the alveoli). The end result is significant trapping of air and impaired oxygen/carbon dioxide exchange. Smoking is the most important contributing factor to the development of COPD, so don't smoke! On chest x-ray, air trapping results in increased volume of the lungs, called hyperinflation, which squeezes the heart and flattens the diaphragm. The lungs also appear more lucent (dark). Chronic bronchitis can also result in scarring with an interstitial lung pattern.
- Nodule: A lung nodule is often rounded and well-defined, representing an island of tissue surrounded by the air of the lungs. Visualized as rounded densities on chest x-ray, nodules can represent benign and malignant conditions, including lung cancer. If a nodule is suspected on a chest x-ray, CT is often necessary to further evaluate it.

- Adenopathy: Adenopathy means abnormal lymph node enlargement. Normal-sized lymph nodes are always present in the mediastinum -- the center part of the chest between the lungs containing the heart -- but usually cannot be seen on a chest x-ray because they blend in with adjacent structures. Enlarged lymph nodes can sometimes be difficult to see, even for experienced radiologists. If a radiologist sees lumps and bumps around the heart and mediastinum that are not explained by normal structures, adenopathy may be present and a chest CT should be obtained.
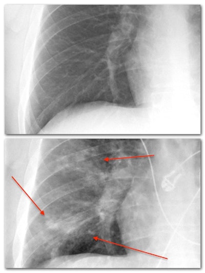
- Pleural effusion: All right, one last visit to our lung anatomy textbook for this term and the next. A pleural effusion means fluid accumulation in the pleural cavity, a potential space that is located between the lungs and the rib cage. "Potential space" is not a new home flipping show; it means a space that is normally empty but has the potential (aah, get it?) to be filled with something, like the inside of an uninflated balloon. The pleural cavity is sandwiched between two thin membranes called the pleura, one of which covers the outside of the lungs and the other the inside of the rib cage. Normally the pleural cavity contains a minuscule amount of fluid for lubrication purposes, but under certain conditions it can fill with fluid and create a pleural effusion. If it is large enough, one can see a horizontal line representing the top of the fluid collection with slight sloping up on each side, a characteristic shape called a meniscus. Pleural effusion is a common cause of atelectasis in the adjacent lung. Many different types of conditions can cause pleural effusions, with heart failure and pneumonia among the more common ones. (A chest x-ray example of pleural effusion can be seen above under "silhouette sign").
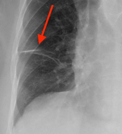
- Pneumothorax: I have always loved this bada$$-sounding name, a great name for a heavy metal band if you ask me (Google tells me that, incredibly, there is a death metal band from Belgium called Pneumothorax). A pneumothorax occupies the same potential space in the pleural cavity as a pleural effusion, but it is filled with air instead of fluid. The lungs are filled with air, so why can't you just breathe it out? The pleural cavity does not communicate with the rest of the lungs under normal conditions, and the entering air can become trapped and expand, creating our pneumothorax. On a chest x-ray, a pneumothorax tends to drift to whichever side is up, often the top of the lungs if the patient is upright. It appears as a lucency adjacent to the lung, often separated by a thin curved line representing the lung pleura. A pneumothorax can occur spontaneously (i.e., without an extrinsic cause), secondary to injury, or in the setting of a biopsy or other lung procedure.

- CABG: Doctors actually pronounce this abbreviation as "cabbage," but not to worry, you don't have sauerkraut in your chest. CABG stands for coronary artery bypass graft, often colloquially referred to by the number of bypassed heart vessels (e.g., triple bypass, quadruple bypass). Radiologists know you had a CABG on a chest x-ray because of the wires used to tie your sternum back together, called median sternotomy wires. Hopefully it is not a surprise to you or your doctor when the radiologist mentions your surgery on the x-ray report! The only problem a radiologist may notice is broken wires. If only a few wires break it is usually not a problem, but if most wires break soon after surgery the sternum can spread apart (called dehiscence) and fail to heal normally.
- Cardiomegaly: "You've got a big heart!" may be nice to hear after you help that little old lady cross the street, but it's not something you want to hear about your chest x-ray. Cardiomegaly, as you may have guessed, means an enlarged heart. The shadow of the heart sits between the lungs in the middle of a chest x-ray, with more of the heart on the left side of your chest (and the right side of the image). Four chambers -- two atria and two ventricles -- pump the blood in parallel circuits through your lungs and around your body. One or more of these chambers can enlarge, suggesting a specific underlying pathologic condition to the radiologist. When the whole heart enlarges, the most common causes are related to high blood pressure and coronary artery disease. Infection of the heart or problems with valves can also enlarge the heart, and babies can be born with conditions that lead to heart enlargement. Sometimes fluid can collect in the sac surrounding the heart, a condition called pericardial effusion, and enlarge the heart shadow on chest x-ray. In the setting of cardiomegaly, the heart will ultimately need to be evaluated with other testing such as CT, MRI, or echocardiogram (ultrasound).
Radiology reports can resemble a foreign language if one is not familiar with the terminology. This post is no Rosetta Stone, but I hope the definitions at least give you an idea of what the heck we radiologists are talking about.
Dr. Neal Klitsch is a board-certified radiologist with fellowship training in musculoskeletal imaging. Through his website at www.neighborhoodradiologist.com, his mission is to educate patients about radiology, shed light on the work of radiologists, and strengthen the connection between patient and radiologist. He can also be found on Twitter at @NeighborhoodRad.
Copyright © 2016 Neighborhood Radiologist