
If it's true that the best answers yield still more questions, then CT is a success on both counts. In emergency departments, CT's answers have come in the form of faster and better diagnoses of any number of conditions, from subdural hematoma to pulmonary embolism to hairline fractures.
At the same time, the evolution to spiral CT and now multidetector-row CT (MDCT) has raised questions that are still being sorted out. For example, when is the modality's higher cost justified? Does CT always cost more? Which procedures make the best and highest use of limited scanner time? Are current triage schemes adequate?
At the 2001 American Roentgen Ray Society Meeting in Seattle, trauma director Dr. Robert Novelline from Massachusetts General Hospital (MGH) in Boston held two more controversies up to the lightbox:
- Should the cervical spine be cleared with plain films or multidetector-row CT?
- Are plain films of the thoracolumbar spine still necessary after MDCT of the chest and abdomen?
"The cervical spine is one of the most important structures we image in emergency radiology divisions," Novelline said in a keynote presentation. "If fractures occur they can result in patient paralysis, so it's really important that we evaluate the spine well. On the other hand, we do hundreds and hundreds of spine imaging examinations a year that are totally normal."
Problems related to plain film radiography of the c-spine have been well reported. Significant cervical spine fractures can be overlooked in even high-quality radiographs, and radiography can be time-consuming in trauma patients, often requiring multiple repeat exposures.
In a 1993 study in The Journal of Trauma, Dr. John Woodring and co-authors found that plain films may miss up to 61% of cervical spine fractures, Novelline said (January 1993, Vol.34:1, pp. 32-39).
"A significant percentage of patients require a repeat [exposure] of the odontoid, a repeat of the cervico-thoracic junction to feed [C7], and this can be very, very time-consuming," he said.
At the same time, CT offers additional advantages in the form of better fracture detection, and better definition compared to plain films. Its limitations relate mostly to equipment availability at the institution, because the protocol requires a conveniently available scanner.
"[CT] exams are faster, reducing the total workup of severely injured trauma patients," he said. "In the multiple trauma patient who's already on the CT scanner, there's no need to move the patient to the radiography room for plain films to clear the c-spine. And actually it's less expensive to do CT of the cervical spine when the patient's already on the table than to move the patient to the radiographic room to do a five- or six-film examination."
For example, a study presented at 1999 ARRS meeting found that the cost of a screening cervical spine spiral CT scan is less than radiography for patients who will be going to the scanner for other CT examinations, Novelline said, noting that precise calculations can be difficult.
"The question of expense is going to be a little bit of a mystery, because our multiple trauma patients are already on the CT scanner table, and it [adds] very little expense -- especially using PACS -- to include the cervical spine," he said.
As for accuracy, the first report on screening for cervical spine trauma with spiral CT was a benchmark study that found CT faster and more accurate than plain films, Novelline said. The study prospectively evaluated 800 trauma patients, identifying 68 fractures in 46 patients. According to the results, spiral CT showed 67 of the fractures (98.5%) while radiography showed only 29 (43%). The total average time in the CT scanner was 4.5 minutes, compared with 25 minutes on the radiography table. (Emergency Radiology 1994, Vol.1:, pp. 273-378).
More recently, a cost-effectiveness analysis by Dr. C. Craig Blackmore established three hypothetical cohorts, Novelline said (Radiology, July 1999;212:1, pp. 117-125).
"For high-risk patients, screening CT prevents paralysis and saves money for society. For moderate-risk patients, screening CT is cost-effective. For low-risk patients, screening CT prevents paralysis, but the incremental cost-effectiveness ratio is high."
Discussions at MGH regarding the best way to balance limited scanner availability with the need for adequate diagnosis of suspected cervical spine trauma have led to the following practice: Minor trauma patients are screened with plain films, while major trauma patients are screened with MDCT.
"We obtain a portable lateral spine film in the trauma room first to get an initial view of the airway and cervical spine, then we do MDCT, and if no fracture is seen we take an out-of-collar lateral c-spine film in the trauma center," to look for any instability, Novelline said.
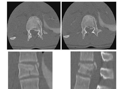
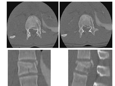
MDCT images are acquired over 25 seconds using 2.5-mm slice thickness, 2.5-mm image spacing, HQ mode. MDCT images are reconstructed to 1.25-mm slice thickness, 1-mm image spacing. Sagittal and coronal reformations are created using 2.5-mm slices and 2.5-mm spacing.
![]() |
![]() |
To answer the second question -- Are thoracolumbar spine films necessary after spiral or MDCT of the chest, abdomen or pelvis? -- Novelline turned to a just-published study by colleagues J. T. Rhea et al at MGH (Emergency Radiology, August 2001, Vol.8:2, pp. 99-104).
The study sought to compare the accuracy of spine plain films with chest and abdominal trauma CT in detection of spine fractures in 329 multiple trauma patients.
Thirty-eight patients with 13 thoracic spine fractures underwent both chest CT and plain films. All 13 (100%) of the fractures were reported on chest CT, while only 8 (62%) were seen on thoracic spine films.
Eighty-seven patients with 18 lumbar spine fractures were examined with both abdominal CT and lumbar spine films. Seventeen of 18 were reported on abdominal CT (18th was visible), while only 12 (67%) of the fractures were reported on the lumbar spine films.
![]() |
"After doing this the surgeons say, 'OK, now we have to get plain films of the spine,' and I say what for?," he said. "'Well, we always do.'" Today's concerns about excessive radiation make the reuse of CT data a great way to reduce unnecessary exposure, he said.
In conclusion, Novelline said that spiral or MDCT is now the preferred screening modality for trauma patients at high and moderate risk for cervical spine fracture.
"Cervical spine CT is especially cost-effective if the patient will be going to the CT scanner for another examination such as the head or abdomen," he said. "Trauma patients examined with MDCT of the chest and abdomen appear not to need additional thoracolumbar plain films. CT screening of all patients with suspected spine trauma remains an attractive option for the future. The question of whether we should be doing all patients with CT right now is up for grabs in future investigations."
By Eric BarnesAuntMinnie.com staff writer
August 28, 2001
Related Reading
Criteria for radiography in cervical spine injury codified, July 20, 2001
Copyright © 2001 AuntMinnie.com























