
Incidental renal masses are a common finding at virtual colonoscopy (also known as CT colonography or CTC), but fortunately, most can be safely ignored, according to a study of 3,000 patients from the University of Wisconsin in Madison.
Follow-up of more than a year also found that lesions deemed benign showed no sign of progression. More studies are needed, but the potential of ruling out malignancy in noncontrast screening studies would be a great help to doctors and patients alike.
"Renal cysts are so common -- in our population, 14% of people had a renal mass," said principal investigator Stacy O'Connor, MD, from the University of Wisconsin. The prevalence of incidental renal lesions in a screening-age population had not been well established, she said in a May presentation at the 2010 American Roentgen Ray Society (ARRS) meeting.
The study examined noncontrast abdominal CT images from 3,000 consecutive screening subjects (mean age, 57 years; 1,667 women, 1,333 men) who had undergone low-dose CTC between 2004 and 2006.
"We based our characterization of lesions in terms of average attenuation and other features that have been shown to be associated with malignancy, such as thickened walls, mural nodules, and calcifications," O'Connor said.
O'Connor and colleagues including Perry Pickhardt, MD, and David Kim, MD, then subdivided the findings into those considered benign ("leave-alone") or indeterminate, O'Conner said. Benign lesions included those with homogeneously low (< 20) or high (>70) attenuation, she said.
"It's generally accepted that anything below 20 HU is water attenuation and a benign cyst, and it's been proven by other authors that anything above 70 has a 99.9% chance of being a hyperattenuating cyst and therefore benign," O'Conner said.
In patients with more than one lesion, the mass considered most likely to be malignant -- dubbed the index mass -- was chosen from each positive dataset. Lesions were also evaluated according to size, intra- or extrarenal location, average attenuation, calcification, septations, and mural nodules.
Lesions smaller than 1 cm at CT or containing fat were also deemed benign. Lesions with attenuation between 20 and 70 HU had to have homogenous attenuation and no thick wall, calcifications, or septations to be deemed benign.
Electronic medical records were analyzed for further evaluation or diagnosis. Masses deemed indeterminate were further evaluated on supine and prone 1.25-mm reconstructions.
"By doing this, we were able to separate the vast majority of lesions that did not require follow-up," O'Connor said of the results. The study yielded at least one renal mass in 506 adults, of which 433 were deemed "leave-alone" masses by the study criteria. The renal masses in 14% of adults (433 of 3,000) had an average diameter of 25 ± 16 mm but no wall thickening or mural nodules, O'Connor said.
- 39% (169/433 were multifocal lesions)
- 24% (103/433 were bilateral lesions)
- 49% (211/433 were intrarenal masses)
The mean mass attenuation was less than 20 HU in 19 cases, 21 to 39 HU in 57 cases, and 40 to 69 HU in 17 cases. Of the 433 lesions, 92 had no follow-up and 50 were deemed indeterminate, she said.
"Any masses with HU numbers greater than 70 were put in the leave-alone group," which constituted 291 of the 433 masses, O'Connor said. Of the 50 indeterminate masses, four were ultimately diagnosed as renal cell carcinomas, she said. Three patients were lost to follow-up and four adults with nonsimple masses were diagnosed with renal cell carcinoma.
Seventy-seven (83%) of 93 adults with nonsimple appearing masses underwent subsequent cross-sectional imaging for various reasons, and 77 had an average of 40 ± 16 months of clinical follow-up (13 with 35 ± 16 months of clinical follow-up but no additional imaging), according to O'Connor.
Few septations were identified among the masses, she said. Focal calcifications were seen in 20 masses, but no wall thickening or nodularity was seen in any mass, findings that highlighted the need for additional research, O'Connor said. No subjects in the leave-alone category developed clinical symptoms or signs of disease over the follow-up period.
"The renal cell carcinomas were all stage I and all deemed indeterminate from the start, which is a good thing because in the ones we said were benign, none ... developed cancer," O'Connor said.
Size and the study's retrospective design were the major limitations, she said. The presence of only four renal cancers would by no means enable the group to set attenuation rates based on these results.
"Next, we're going to do a study of biopsy-proven renal cell carcinoma in order to estimate their average attenuation so we can narrow the window ... so it would be even easier to throw things out as benign without missing any real cancers," O'Connor said. At that point, unenhanced CT could potentially have a role in guiding the need for biopsy.
When indicated, contrast-enhanced CT substantially pares down the numbers that need invasive intervention, and even without contrast, just 2% of the population had an indeterminate mass, which is promising, she said.
"A review of average attenuation of biopsy-proven renal cell carcinoma on unenhanced CT may make it possible to guide biopsy," O'Connor said.
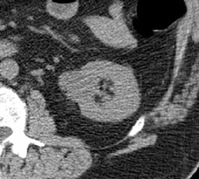
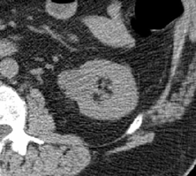
![]() |
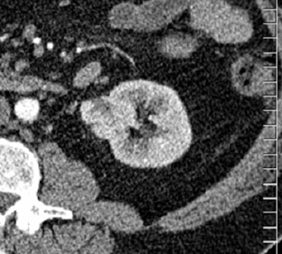
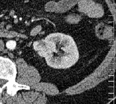
| Above, 3.5-cm left renal mass incidentally found at CTC of a 64-year-old man; further evaluation was recommended. Follow-up CT with and without contrast (below) demonstrated an enhancing mass. Patient underwent nephrectomy, and pathology was stage I renal cell carcinoma. The patient is still alive and without metastases, 4.5 years later. Images courtesy of Stacy O'Connor, MD. |
![]() |
Based on all results, virtual colonoscopy showed 100% (4/4) sensitivity for renal carcinoma cases, 86% (291/337) specificity, 8% (4/50) positive predictive value, and 100% (291/291) negative predictive value, O'Connor said.
"Fourteen percent of all adults have incidental renal masses, but most do not require workup" because they are simple-appearing cysts or angiomyolipomas that can be ignored, O'Connor said.
"We were able to show that even at low-dose noncontrast CT we could limit the majority of incidental lesions and classify them as benign cysts -- and I think we're the first group to have the clinical follow-up to prove that," O'Connor said.
Low-dose CTC is sufficiently sensitive to identify the few nonsimple-appearing masses that can lead to additional evaluation, though very few cases will ever become clinically relevant, she said.
A review of average attenuation of biopsy-proven renal cell carcinoma on unenhanced CT may eventually make it possible to guide biopsy, but there's plenty of work ahead before physicians will be able to do it with confidence, O'Connor told Auntminnie.com.
But if the criteria for determining suspicious kidney lesions at unenhanced VC can be sufficiently refined, a lot of needless interventions could potentially be avoided, she said. Just as important, "patients won't have to get freaked out thinking they have cancer," O'Connor said.
"In our population 14% of the people had a renal mass, and that works with previous literature, so it's nice to be able to say, 'yes,' these things are common and we don't need to follow them all up," she said.
By Eric Barnes
AuntMinnie.com staff writer
June 15, 2010
Related Reading
Significant extracolonic cancer found in VC screening patients, June 12, 2007
Homogeneity at CT distinguishes renal cysts from cancer, May 17, 2007
Low incidence of serious extracolonic findings seen in VC screening population, December 18, 2006
Extracolonic lesions: Find them if you can, October 30, 2006
US, MRI challenge CT for classifying renal cell carcinoma, June 17, 2003
Copyright © 2010 AuntMinnie.com






















