
PET imaging with a fibroblast activation protein inhibitor (FAPI) radiotracer may predict whether patients with esophageal cancer will respond to chemoradiotherapy, according to a study published October 13 in the Journal of Nuclear Medicine.
In a small clinical trial, Chinese researchers at the Shandong Cancer Hospital and Institute in Jinan, Shandong, investigated whether F-18 FAPI-04 PET/CT scans can predict outcomes in patients with locally advanced esophageal squamous cell carcinoma (LA-ESCC). The scans revealed which patients responded poorly to chemoradiotherapy and suggests the approach may be useful for screening patients before treatment.
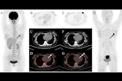
A: F-18 FAPI-04 PET/CT and CT images of a patient with locally advanced esophageal squamous cell carcinoma (LA-ESCC) with an outcome classified as partial response. B: F-18 FAPI-04 PET/CT and CT images of an LA-ESCC patient with an outcome classified as stable disease. Images courtesy of the Journal of Nuclear Medicine."The ability to identify patients with a poor prognosis in advance via imaging will help to realize individualized treatment of tumors," wrote corresponding author Dr. Shuanghu Yuan, PhD.
Esophageal cancer is one of the most common malignant tumors of the digestive system in the world, ranking seventh in terms of incidence and sixth in mortality overall in 2020. Squamous cell carcinoma is the main histological type of esophageal cancer in central and Southeast Asia; chemoradiotherapy is a first-line treatment, the authors explained.
Fibroblast activation protein (FAP) is overexpressed in cancer, and researchers suspect it is an essential component driving the growth of tumors. Experimental FAP-targeted molecular imaging agents, such as FAPI-04 and FAPI-46, have shown promising results in tumor diagnosis.
This trial was conducted between June 2021 to March 2022 and included 18 patients with LA-ESCC who underwent F-18 FAPI-04 PET/CT imaging before chemoradiotherapy. Four weeks after treatment, patients were split into groups to determine who showed a complete response, partial response, stable disease, or no response.
The researchers evaluated standard uptake (SUV) values based on tumor uptake of the F-18 FAPI-04 radiotracer, as well as target-to-background ratios (TBR) between the groups. At baseline, quantitative measures of patient response were significantly higher in those patients who did not respond to treatment compared to those who did -- specifically TBRblood (12.53 vs. 10.29), TBRmuscle (12.24 vs. 9.81), and SUVmean (14.30 vs. 4.25), Yuan's group reported.
In addition, the investigators used receiver operating characteristic (ROC) curve analysis to evaluate the accuracy of these parameters for predicting patient chemoradiotherapy response. The TBRblood measure showed an area under the curve (AUC) of 0.88, while TBRmuscle showed an AUC of 0.89 and SUVmean an AUC of 0.87, the researchers found.
"Certain parameters derived from baseline F-18 FAPI-04 PET/CT scans, specifically the baseline TBRblood, TBRmuscle, and SUVmean, as well as the tumor site are potentially valuable for predicting the response to [chemoradiotherapy] in patients with LA-ESCC," the authors wrote.
The study suggests that combined with clinical prognostic factors, pretreatment F-18 FAPI-04 PET/CT could be developed as an approach to help determine which patients could benefit from chemoradiotherapy, according to the authors.
"Based on the encouraging results of this analysis, 18F-FAPI-04 PET/CT may offer a standardized and reproducible technique for identifying LA-ESCC patients most likely to respond to [chemoradiotherapy]," they concluded.




















