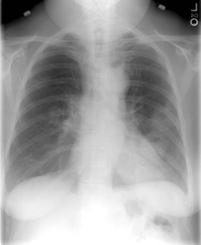
Nocardia Pulmonary Infection- Case 2
The patient was receiving high doses of corticosteroids when the developed symptoms of
pulmonary infection. Multiple, thick walled cavitary nodules can be seen. Bronchoscopy was
performed and cultures grew Nocardia. CXR and CT scan are shown below.
(Click CXR for larger image)








