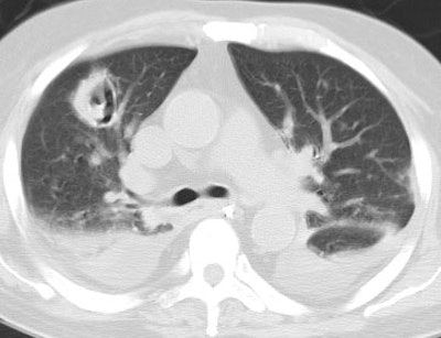
Invasive Aspergillosis:
Shown below is an immune compromised patient with invasive pulmonary Aspergillosis infection. CT scan demonstrated an air crescent reflecting air between the infarcted, retracted lung and the adjacent normal lung parenchyma. This is a late finding in Aspergillosis infection.






